Hơi thở có mùi khó chịu, đặc biệt là mùi hôi xuất phát từ kẽ răng bị hôi là vấn đề khiến nhiều người cảm thấy tự ti và lo lắng. Tình trạng này không chỉ ảnh hưởng đến giao tiếp xã hội mà còn tiềm ẩn những nguy cơ sức khỏe đáng kể. Bài viết này sẽ giúp bạn hiểu rõ hơn về nguyên nhân, tác hại và cách điều trị kẽ răng bị hôi hiệu quả và an toàn, từ những phương pháp dân gian đơn giản đến các giải pháp nha khoa tiên tiến. Đồng thời, chúng ta cũng sẽ cùng tìm hiểu cách phòng tránh để luôn giữ hơi thở thơm mát và nụ cười tự tin.
Nguyên nhân gây mùi hôi ở kẽ răng
Kẽ răng bị hôi là hiện tượng thường gặp, xuất phát từ nhiều nguyên nhân khác nhau. Việc xác định nguyên nhân chính xác sẽ giúp bạn lựa chọn phương pháp điều trị phù hợp và hiệu quả nhất. Dưới đây là một số nguyên nhân phổ biến:
- Vệ sinh răng miệng không sạch sẽ: Đây là nguyên nhân hàng đầu gây nên tình trạng kẽ răng bị hôi. Thức ăn thừa, mảng bám tích tụ lâu ngày trong kẽ răng tạo điều kiện cho vi khuẩn phát triển, sản sinh ra các hợp chất lưu huỳnh gây mùi hôi khó chịu.
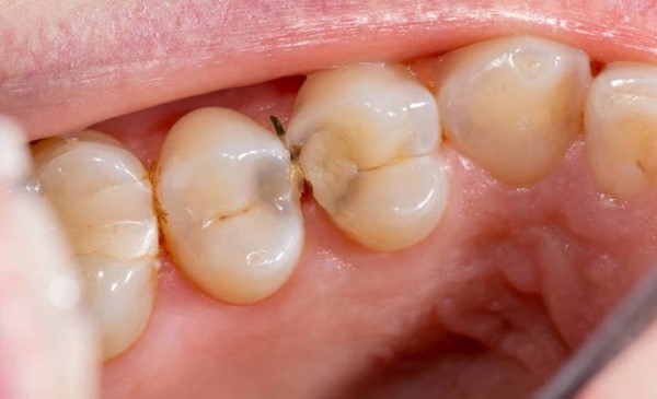
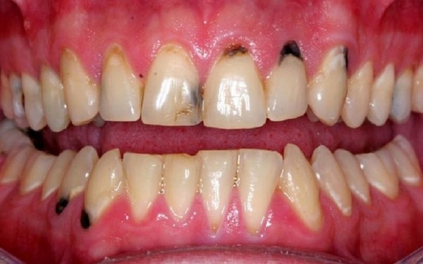
- Bệnh lý răng miệng: Các bệnh lý như sâu răng, viêm lợi, viêm nha chu, viêm nướu,… là những “ổ” chứa vi khuẩn gây mùi hôi. Khi mắc các bệnh này, bạn sẽ nhận thấy hơi thở có mùi khó chịu, đặc biệt là khi xuất hiện mủ hoặc máu.
- Chế độ ăn uống: Thực phẩm có mùi nặng như hành, tỏi, cà phê, rượu… có thể gây ra mùi hôi tạm thời. Ngoài ra, một chế độ ăn uống thiếu khoa học, hạn chế rau xanh và trái cây cũng dễ khiến hơi thở có mùi khó chịu.
- Khô miệng: Nước bọt có vai trò quan trọng trong việc làm sạch khoang miệng và ngăn ngừa sự phát triển của vi khuẩn. Khi cơ thể bị mất nước, tuyến nước bọt hoạt động kém sẽ dẫn đến tình trạng khô miệng, tạo điều kiện cho vi khuẩn sinh sôi và gây mùi hôi.
- Thuốc lá và rượu bia: Sử dụng thuốc lá, rượu bia trong thời gian dài sẽ làm tăng nguy cơ mắc các bệnh lý về răng miệng, đồng thời gây ảnh hưởng đến chức năng của tuyến nước bọt, tạo điều kiện cho vi khuẩn gây mùi phát triển.
- Một số bệnh lý toàn thân: Một số bệnh lý toàn thân như tiểu đường, bệnh gan, thận… cũng có thể gây ra tình trạng kẽ răng bị hôi.

Kẽ răng bị hôi có ảnh hưởng gì đến sức khỏe không?
Không chỉ gây phiền toái về mặt thẩm mỹ, kẽ răng bị hôi còn tiềm ẩn nhiều nguy cơ ảnh hưởng đến sức khỏe răng miệng và sức khỏe tổng thể.
- Tăng nguy cơ mắc các bệnh lý răng miệng: Môi trường kẽ răng bẩn, chứa nhiều vi khuẩn là điều kiện thuận lợi để các bệnh lý như sâu răng, viêm lợi, viêm nha chu phát triển.
- Ảnh hưởng đến hệ tiêu hóa: Vi khuẩn gây mùi hôi trong khoang miệng có thể xâm nhập vào hệ tiêu hóa, gây ra các vấn đề như rối loạn tiêu hóa, viêm loét dạ dày…
- Gây hại cho tim mạch: Một số nghiên cứu cho thấy, vi khuẩn trong miệng có thể xâm nhập vào máu, làm tăng nguy cơ mắc các bệnh tim mạch.
- Ảnh hưởng đến sức khỏe hô hấp: Vi khuẩn trong miệng có thể gây viêm nhiễm đường hô hấp, đặc biệt là ở những người có sức đề kháng yếu.
- Ảnh hưởng đến đời sống xã hội: Kẽ răng bị hôi khiến bạn cảm thấy tự ti, ngại giao tiếp, ảnh hưởng đến các mối quan hệ xã hội, công việc và cuộc sống.

Cách điều trị mùi hôi ở kẽ răng hiệu quả và an toàn
Điều trị kẽ răng bị hôi đòi hỏi sự kiên trì và tuân thủ nghiêm ngặt các hướng dẫn của nha sĩ. Ngoài việc duy trì thói quen vệ sinh răng miệng tốt, bạn có thể áp dụng một số biện pháp sau để cải thiện tình trạng này:
Súc miệng bằng nước muối
Nước muối là một phương pháp dân gian đơn giản, hiệu quả trong việc làm sạch khoang miệng, giảm viêm nhiễm và khử mùi hôi.
- Cách thực hiện: Hòa tan 1 thìa cà phê muối vào 250ml nước ấm, súc miệng kỹ trong khoảng 30 giây, sau đó nhổ bỏ.
- Lưu ý: Không nên súc miệng nước muối quá nhiều lần trong ngày vì có thể làm mất cân bằng độ pH trong miệng, gây kích ứng niêm mạc miệng.

Sử dụng gừng tươi kết hợp với chanh
Gừng tươi và chanh đều có tính kháng khuẩn, sát trùng cao, giúp loại bỏ vi khuẩn gây mùi hôi trong khoang miệng.
- Cách thực hiện: Lấy một miếng gừng tươi, rửa sạch, giã nhỏ, trộn với một ít nước cốt chanh, sau đó dùng hỗn hợp này súc miệng trong khoảng 30 giây.
- Lưu ý: Không nên sử dụng phương pháp này quá thường xuyên vì có thể gây kích ứng niêm mạc miệng, đặc biệt là người có làn da nhạy cảm.
Cam thảo – Giải pháp tự nhiên cho hơi thở thơm tho
Cam thảo có tác dụng kháng viêm, kháng khuẩn, làm sạch khoang miệng và mang lại hơi thở thơm mát.
- Cách thực hiện: Nhai một miếng cam thảo nhỏ sau khi ăn hoặc pha trà cam thảo để uống hàng ngày.
- Lưu ý: Người bị huyết áp cao, phụ nữ mang thai nên hạn chế sử dụng cam thảo.

Điều trị mùi hôi ở kẽ răng bằng công nghệ nha khoa tiên tiến
Trong trường hợp kẽ răng bị hôi do các nguyên nhân như sâu răng, viêm lợi, viêm nha chu… thì cần đến nha sĩ để được thăm khám và điều trị. Các phương pháp nha khoa tiên tiến có thể giúp loại bỏ nguyên nhân gây mùi hôi, khôi phục sức khỏe răng miệng và mang lại hơi thở thơm tho.
- Làm sạch cao răng, mảng bám: Nha sĩ sẽ sử dụng các dụng cụ chuyên dụng để loại bỏ cao răng, mảng bám tích tụ lâu ngày trong kẽ răng, giúp làm sạch môi trường vi khuẩn gây mùi.
- Điều trị sâu răng, viêm lợi, viêm nha chu: Nha sĩ sẽ áp dụng các phương pháp điều trị chuyên khoa để loại bỏ vi khuẩn, ngăn ngừa sự phát triển của bệnh lý, giảm thiểu mùi hôi.
- Cấy ghép implant: Nếu răng bị mất hoặc hư hỏng nặng, nha sĩ có thể đề xuất phương pháp cấy ghép implant để phục hồi chức năng ăn nhai và cải thiện thẩm mỹ, đồng thời hạn chế tình trạng tích tụ thức ăn trong kẽ răng.
- Phẫu thuật chỉnh nha: Ở một số trường hợp kẽ răng quá rộng, nha sĩ có thể chỉ định phẫu thuật chỉnh nha để thu hẹp kẽ răng, giúp dễ dàng vệ sinh hơn và hạn chế mùi hôi.

Cách phòng tránh mùi hôi ở kẽ răng
Việc phòng ngừa luôn tốt hơn chữa trị. Để ngăn ngừa tình trạng kẽ răng bị hôi, bạn cần chú ý đến việc vệ sinh răng miệng đúng cách, kết hợp với một số biện pháp khác:
- Đánh răng ít nhất 2 lần/ngày: Sử dụng kem đánh răng có chứa fluoride và bàn chải đánh răng có lông mềm, chải kỹ từng kẽ răng, mặt trong và mặt ngoài của răng.
- Sử dụng chỉ nha khoa: Chỉ nha khoa giúp loại bỏ thức ăn thừa, mảng bám trong kẽ răng, nơi mà bàn chải đánh răng khó tiếp cận được.
- Súc miệng bằng nước súc miệng: Nước súc miệng có tác dụng làm sạch khoang miệng, khử trùng và ngăn ngừa sự phát triển của vi khuẩn.
- Hạn chế ăn uống các thực phẩm gây mùi: Giảm thiểu tiêu thụ các thực phẩm như hành, tỏi, cà phê,… đặc biệt là trước khi giao tiếp.
- Uống đủ nước: Uống đủ nước giúp duy trì độ ẩm trong miệng, kích thích sản sinh nước bọt, làm sạch khoang miệng và ngăn ngừa khô miệng.
- Khám nha khoa định kỳ: Khám nha khoa định kỳ 6 tháng/lần để phát hiện và điều trị sớm các bệnh lý răng miệng, ngăn ngừa kẽ răng bị hôi.
- Ngưng hút thuốc lá, hạn chế rượu bia: Thuốc lá, rượu bia là những yếu tố làm tăng nguy cơ mắc các bệnh lý răng miệng và gây mùi hôi.

Kết luận
Tình trạng kẽ răng bị hôi không chỉ gây mất thẩm mỹ mà còn ảnh hưởng đến sức khỏe răng miệng và sự tự tin trong giao tiếp. Mặc dù có thể áp dụng các biện pháp vệ sinh răng miệng tại nhà, nhưng để khắc phục triệt để, bạn nên đến các cơ sở nha khoa uy tín để được thăm khám và điều trị.
Nha Khoa Quốc Tế Joy với đội ngũ bác sĩ chuyên môn cao, trang thiết bị hiện đại sẽ giúp bạn tìm ra nguyên nhân và có phương pháp điều trị phù hợp. Bên cạnh đó, chúng tôi còn cung cấp đa dạng các dịch vụ nha khoa chất lượng cao như niềng răng, trồng implant, bọc răng sứ. Hãy liên hệ ngay với chúng tôi qua hotline 039 345 6872 hoặc truy cập website nhakhoaquoctejoy.vn để được tư vấn chi tiết và đặt lịch thăm khám.










