Mọc răng khôn là một quá trình sinh lý tự nhiên của cơ thể, tuy nhiên nó cũng có thể gây ra nhiều phiền toái, đặc biệt là tình trạng mọc răng khôn bị sưng má. Cảm giác sưng, đau nhức, khó chịu ở vùng má khiến người bệnh khó ăn uống, ảnh hưởng đến sinh hoạt hàng ngày. Hiểu rõ về các dấu hiệu, nguyên nhân và cách xử trí khi mọc răng khôn bị sưng má sẽ giúp bạn đối phó hiệu quả với tình trạng này và giảm thiểu những khó khăn, phiền toái. Bài viết này sẽ cung cấp cho bạn những thông tin hữu ích để giải quyết vấn đề này.
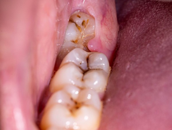
Dấu hiệu nhận biết khi mọc răng khôn bị sưng má
Khi răng khôn bắt đầu mọc, bạn có thể nhận thấy một số dấu hiệu như:
- Má sưng, đỏ và đau nhức: Đây là dấu hiệu phổ biến nhất khi mọc răng khôn. Vùng má gần răng khôn sẽ bị sưng lên, da có thể đỏ, nóng và rất đau khi chạm vào.
- Đau nhức lan tỏa: Cơn đau có thể lan ra vùng hàm, tai, thậm chí cả đầu.
- Khó khăn khi nhai và nuốt: Sưng má khiến việc cử động hàm trở nên khó khăn, gây trở ngại khi nhai và nuốt thức ăn.
- Hơi thở có mùi hôi: Do vùng răng khôn khó vệ sinh, vi khuẩn dễ sinh sôi gây ra mùi hôi khó chịu.
- Sưng hạch cổ: Trong một số trường hợp, bạn có thể cảm thấy các hạch bạch huyết ở cổ bị sưng.
- Nhiệt độ cơ thể tăng cao: Một số trường hợp mọc răng khôn bị nhiễm trùng có thể gây sốt.
- Xuất hiện vết loét hoặc chảy máu: Lợi ở vùng răng khôn có thể bị tổn thương, gây chảy máu hoặc xuất hiện vết loét.

Nguyên nhân gây sưng má khi mọc răng khôn
Sưng má khi mọc răng khôn là do sự phát triển của răng khôn tác động lên các mô xung quanh. Cụ thể, một số nguyên nhân chính bao gồm:
- Răng khôn mọc lệch hoặc ngầm: Khi răng khôn mọc lệch, nó có thể đâm vào các răng kế bên hoặc xương hàm, gây ra sưng, đau và khó chịu.
- Nhiễm trùng: Vi khuẩn có thể xâm nhập vào vùng răng khôn đang mọc, gây viêm nhiễm và sưng tấy.
- Tích tụ thức ăn: Do vị trí răng khôn khó vệ sinh, thức ăn dễ bị mắc kẹt, tạo điều kiện cho vi khuẩn phát triển, gây viêm nhiễm.
- Phản ứng viêm: Cơ thể phản ứng với sự phát triển của răng khôn bằng cách tạo ra các phản ứng viêm, gây sưng và đau.
- Hệ miễn dịch yếu: Người có hệ miễn dịch yếu dễ bị nhiễm trùng khi mọc răng khôn, dẫn đến tình trạng sưng má nghiêm trọng hơn.

Cách giảm đau khi mọc răng khôn và bị sưng má
Khi mọc răng khôn bị sưng má, bạn có thể áp dụng một số biện pháp tại nhà để giảm đau và sưng. Tuy nhiên, nếu tình trạng đau nhức kéo dài hoặc nghiêm trọng, bạn nên đến gặp nha sĩ để được khám và điều trị kịp thời.
Súc miệng với nước muối
Nước muối có tính sát khuẩn nhẹ, giúp làm sạch vết thương, giảm viêm nhiễm và giảm đau. Bạn có thể pha một thìa cà phê muối vào một cốc nước ấm, súc miệng nhẹ nhàng trong 30 giây, lặp lại 3-4 lần/ngày.

Giảm đau bằng chườm đá
Chườm đá có tác dụng làm tê liệt các dây thần kinh, giảm đau và sưng. Bạn có thể bọc đá vào một chiếc khăn sạch, chườm lên vùng má bị sưng trong 15-20 phút, lặp lại 3-4 lần/ngày. Lưu ý không nên chườm đá trực tiếp lên da để tránh làm tổn thương da.
Áp dụng liệu pháp nhiệt
Liệu pháp nhiệt có tác dụng làm giãn mạch máu, tăng cường tuần hoàn máu và giảm đau. Bạn có thể dùng khăn ấm hoặc túi chườm nước ấm chườm lên vùng má bị sưng trong 15-20 phút, 2-3 lần/ngày.
Dùng lá bạc hà
Lá bạc hà có các hoạt chất giúp giảm đau, kháng viêm và làm dịu vùng niêm mạc miệng. Bạn có thể nhai một vài lá bạc hà tươi hoặc pha trà bạc hà uống.

Tinh dầu đinh hương
Tinh dầu đinh hương có tính sát khuẩn và giảm đau mạnh mẽ. Bạn có thể nhỏ 1-2 giọt tinh dầu đinh hương vào bông gòn, chấm nhẹ lên vùng lợi bị sưng. Tuy nhiên, cần lưu ý rằng tinh dầu đinh hương có thể gây kích ứng da, vì vậy chỉ nên áp dụng một lượng nhỏ và theo dõi phản ứng của cơ thể.
Sử dụng tinh dầu tràm trà
Tinh dầu tràm trà cũng có khả năng kháng khuẩn và chống viêm, giúp giảm sưng và đau. Bạn có thể pha vài giọt tinh dầu tràm trà với nước ấm, súc miệng trong 30 giây, lặp lại 2-3 lần/ngày.
Dùng tinh dầu kinh giới
Tinh dầu kinh giới có tác dụng giảm đau, sát trùng và giảm viêm hiệu quả. Bạn có thể nhỏ vài giọt tinh dầu kinh giới vào nước ấm, súc miệng hoặc nhỏ vài giọt lên bông gòn, chấm nhẹ lên vùng lợi bị sưng.

Tỏi và gừng giúp giảm đau răng khôn
Tỏi và gừng có tính kháng khuẩn, kháng viêm cao, giúp giảm đau và sưng. Bạn có thể nhai một miếng tỏi hoặc gừng tươi để giảm đau. Hoặc bạn có thể đun sôi nước gừng sau đó ngậm để giảm đau.
Nhai hành tây để giảm đau răng khôn
Hành tây có chứa các chất kháng sinh tự nhiên, giúp giảm đau và kháng viêm. Bạn có thể nhai một miếng hành tây tươi để giảm đau, nhưng cần lưu ý hành tây có thể gây kích ứng niêm mạc miệng.
Dùng túi trà để giảm đau và sưng má khi mọc răng khôn
Túi trà có chứa tannin, giúp giảm sưng và giảm đau. Bạn có thể nhúng túi trà đã sử dụng vào nước lạnh, sau đó đắp lên vùng má bị sưng trong 10-15 phút.
Sử dụng thuốc giảm đau
Trong trường hợp đau nhức quá mạnh, bạn có thể sử dụng thuốc giảm đau không kê đơn như paracetamol hoặc ibuprofen để giảm đau. Tuy nhiên, cần lưu ý sử dụng theo đúng hướng dẫn của nhà sản xuất và không tự ý tăng liều dùng.

Mọc răng khôn sưng má sẽ hết sau bao lâu?
Việc sưng má do quá trình mọc răng khôn sẽ tùy thuộc vào từng người và triệu chứng cụ thể, thường mất khoảng từ 3 đến 7 ngày để giảm bớt tình trạng này. Tuy nhiên, nếu bạn trải qua tình trạng sưng kéo dài hơn một tuần kèm theo những dấu hiệu như sốt cao, cơn đau dữ dội, chảy máu hoặc sự xuất hiện của mủ, bạn nên nhanh chóng tìm đến nha sĩ để được kiểm tra và có phương pháp điều trị phù hợp.
Mọc răng khôn sưng má có nên nhổ ngay không?
Việc có nên nhổ răng khôn khi bị sưng má hay không phụ thuộc vào tình trạng cụ thể của mỗi người. Nếu răng khôn mọc thẳng, không gây ảnh hưởng đến các răng khác và không gây ra các triệu chứng đau nhức, sưng tấy thì có thể không cần nhổ. Tuy nhiên, nếu răng khôn mọc lệch, gây đau nhức, sưng tấy, nhiễm trùng hoặc ảnh hưởng đến các răng khác thì nên nhổ để tránh những biến chứng nguy hiểm về sau.

Kết luận
Mọc răng khôn bị sưng má là tình trạng phổ biến gây nhiều khó chịu cho người bệnh. Mặc dù có thể áp dụng các biện pháp giảm đau tại nhà, nhưng để đảm bảo an toàn và hiệu quả, bạn nên thăm khám tại các cơ sở nha khoa uy tín. Nha Khoa Quốc Tế Joy với đội ngũ bác sĩ giàu kinh nghiệm, trang thiết bị hiện đại sẽ giúp bạn kiểm tra và có phương pháp điều trị phù hợp. Ngoài ra, chúng tôi còn cung cấp nhiều dịch vụ nha khoa chất lượng cao như niềng răng, trồng implant, bọc răng sứ. Hãy liên hệ ngay với chúng tôi qua hotline 039 345 6872 hoặc truy cập website nhakhoaquoctejoy.vn để được tư vấn chi tiết và đặt lịch thăm khám.










