Răng miệng đóng vai trò quan trọng không chỉ trong việc đảm bảo khả năng ăn nhai mà còn ảnh hưởng lớn đến vẻ đẹp thẩm mỹ bên ngoài của mỗi người. Tuy nhiên, sự hình thành vôi răng là điều khó tránh khỏi trong cuộc sống hàng ngày, đặc biệt là khi chúng ta không chăm sóc răng miệng đúng cách. Một câu hỏi được nhiều người quan tâm là: Bao lâu nên cạo vôi răng để duy trì sức khỏe răng miệng?
Bài viết dưới đây của Nha Khoa Quốc Tế Joy sẽ giúp bạn hiểu rõ hơn về tác hại của vôi răng, tần suất cạo vôi răng hợp lý và gợi ý những địa chỉ nha khoa uy tín trong việc lấy cao răng.
Tác hại của vôi răng đối với sức khỏe răng miệng

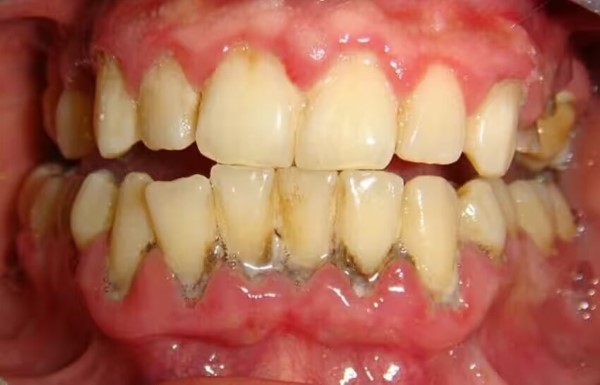
Vôi răng, hay còn gọi là cao răng, không chỉ đơn thuần là một lớp bám dính trên bề mặt răng mà còn có thể dẫn đến nhiều vấn đề nghiêm trọng cho sức khỏe răng miệng nếu không được xử lý kịp thời. Khi cao răng tích tụ quá mức, nó sẽ trở thành nơi cư trú lý tưởng cho vi khuẩn phát triển.
Cao răng hình thành từ mảnh vụn thức ăn, nước bọt và vi khuẩn khi chúng kết hợp lại với nhau, sau đó cứng lại theo thời gian. Điều này không chỉ gây ra tình trạng hôi miệng mà còn làm tổn thương nướu và men răng. Nếu không được loại bỏ, vi khuẩn có thể sản sinh ra các độc tố, dẫn đến việc viêm nhiễm nướu, sâu răng, và thậm chí là mất răng.
Hôi miệng

Hôi miệng là một trong những triệu chứng phổ biến nhất liên quan đến cao răng. Những vi khuẩn tích tụ trên bề mặt răng sẽ sản xuất ra các hợp chất lưu huỳnh, tạo ra mùi hôi khó chịu. Người mắc phải tình trạng này thường cảm thấy tự ti khi giao tiếp và có thể bị chê bai bởi những người xung quanh.
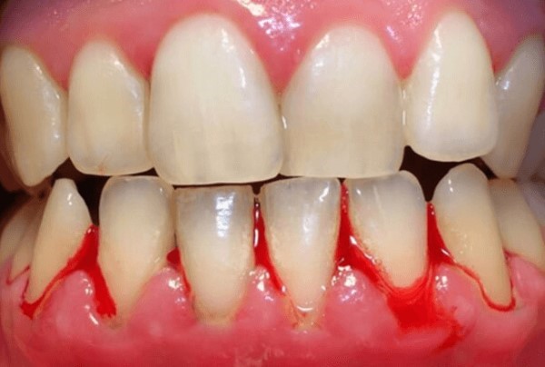
Viêm nướu và chảy máu chân răng

Việc vi khuẩn xâm nhập vào nướu do cao răng có thể dẫn đến tình trạng viêm nướu. Nướu sẽ sưng đỏ và có thể chảy máu khi bạn đánh răng hoặc ăn uống. Nếu không được điều trị kịp thời, viêm nướu có thể tiến triển thành bệnh nha chu, làm tổn thương mô đỡ răng và dẫn đến mất răng.
Gây sâu răng

Axit sinh ra từ vi khuẩn trong cao răng sẽ làm bào mòn men răng, khiến răng trở nên nhạy cảm hơn với nóng lạnh. Trường hợp nặng, sự bào mòn này có thể tạo điều kiện cho sâu răng hình thành.
Ảnh hưởng đến thẩm mỹ
Ngoài những vấn đề sức khỏe nghiêm trọng, cao răng cũng làm mất đi vẻ đẹp tự nhiên của hàm răng. Răng sẽ bị ố vàng, xỉn màu và giảm độ bóng, gây ảnh hưởng đến hình ảnh và tự tin của người sở hữu. Vậy chính xác thì bao lâu nên cạo vôi răng, cùng tìm hiểu tiếp nhé!
Bao lâu nên cạo vôi răng 1 lần?

Bao lâu nên cạo vôi răng 1 lần? Tần suất cạo vôi răng không phải là một con số cố định, nó phụ thuộc vào nhiều yếu tố như tình trạng răng miệng, chế độ ăn uống, và thói quen vệ sinh cá nhân của mỗi người. Vậy, bao lâu thì bạn nên cạo vôi răng một lần?
Điều đầu tiên cần lưu ý là bạn cần theo dõi tình trạng răng miệng của bản thân. Nếu bạn có thói quen chải răng đúng cách và đều đặn và không bị viêm nướu thường xuyên, có thể bạn chỉ cần cạo vôi răng từ 6 đến 12 tháng một lần. Ngược lại, nếu bạn dễ dàng tích tụ cao răng và có dấu hiệu viêm nướu, thời gian giữa các lần cạo vôi nên rút ngắn xuống còn 3 đến 6 tháng.
Các yếu tố ảnh hưởng đến tần suất cạo vôi răng
Tình trạng sức khỏe tổng thể và thói quen sinh hoạt cũng ảnh hưởng đến việc bao lâu nên cạo vôi răng. Nếu bạn thường xuyên ăn đồ ngọt, đồ dính, hoặc có thói quen hút thuốc lá, bạn sẽ dễ dàng tích tụ cao răng hơn. Do đó, việc cạo vôi răng thường xuyên là cần thiết.
Thêm vào đó, những người có sức đề kháng yếu hay mắc bệnh tiểu đường cần chú ý hơn đến việc chăm sóc răng miệng của mình. Việc cạo vôi răng định kỳ không chỉ giúp ngăn ngừa các vấn đề về sức khỏe mà còn giữ cho nụ cười của bạn luôn tươi sáng.
Thời gian giữa các lần cạo vôi
Thông thường, khoảng thời gian giữa các lần cạo vôi răng sẽ dao động từ 3 tháng đến 1 năm, tùy thuộc vào những yếu tố đã nêu ở trên. Bạn hãy tham khảo ý kiến của bác sĩ nha khoa để có kế hoạch cạo vôi răng phù hợp nhất cho mình.
Địa chỉ lấy cao răng uy tín
Khi quyết định cạo vôi răng, việc lựa chọn địa chỉ nha khoa uy tín là rất quan trọng. Không chỉ đảm bảo an toàn cho sức khỏe răng miệng của bạn, mà còn giúp bạn nhận được dịch vụ tốt nhất.
Một địa chỉ nha khoa uy tín sẽ cung cấp các dịch vụ chuyên nghiệp, đội ngũ bác sĩ có tay nghề cao và trang thiết bị hiện đại. Đồng thời, họ cũng sẽ đưa ra hướng dẫn chăm sóc răng miệng sau khi cạo vôi, giúp bạn duy trì sức khỏe răng miệng lâu dài.
Tiêu chí chọn lựa địa chỉ lấy cao răng

Khi tìm kiếm một địa chỉ nha khoa phù hợp để cạo vôi răng, bạn nên cân nhắc các tiêu chí như:
- Chất lượng dịch vụ: Cần tìm hiểu về chất lượng dịch vụ mà cơ sở nha khoa cung cấp. Những đánh giá từ khách hàng trước đó có thể là nguồn thông tin quý báu.
- Đội ngũ bác sĩ: Đội ngũ bác sĩ giỏi, có kinh nghiệm sẽ giúp bạn cảm thấy yên tâm hơn khi thực hiện các thủ thuật nha khoa.
- Trang thiết bị: Cơ sở vật chất và trang thiết bị hiện đại giúp đảm bảo quá trình cạo vôi răng diễn ra an toàn và hiệu quả.
- Giá cả: Chi phí hợp lý cũng là một yếu tố cần được xem xét. Bạn không nên quá chú trọng vào giá rẻ mà bỏ qua chất lượng dịch vụ.
Gợi ý một số cơ sở nha khoa uy tín

Bạn có thể tham khảo một số địa chỉ nha khoa uy tín tại Việt Nam như:
- Nha khoa Quốc tế JOY: là một trong những địa chỉ nổi bật về dịch vụ chất lượng và đội ngũ bác sĩ chuyên nghiệp, được bệnh nhân hết sức tín nhiệm.
- Nha khoa Kim: Với hệ thống phòng khám trải dài trên toàn quốc, Nha khoa Kim nổi bật với dịch vụ chăm sóc khách hàng tận tình và công nghệ hiện đại.
- Nha khoa Phú Hòa: Đây là một địa chỉ chăm sóc răng miệng đáng tin cậy với nhiều phản hồi tích cực từ bệnh nhân về chất lượng dịch vụ.
Kết luận
Bao lâu nên cạo vôi răng là một câu hỏi quan trọng trong việc chăm sóc sức khỏe răng miệng. Tùy thuộc vào tình trạng răng miệng, chế độ ăn uống và thói quen sinh hoạt, bạn nên cạo vôi răng định kỳ từ 3 đến 12 tháng/lần.
Đặc biệt, việc lựa chọn một địa chỉ nha khoa uy tín sẽ giúp bạn đảm bảo an toàn và hiệu quả trong quá trình cạo vôi. Chăm sóc răng miệng đúng cách không chỉ giúp bạn duy trì một nụ cười tự tin mà còn bảo vệ sức khỏe tổng thể của bạn.
Hy vọng rằng bài viết này đã cung cấp cho bạn những thông tin hữu ích và cần thiết để quản lý sức khỏe răng miệng của mình một cách hiệu quả.
Đọc thêm:










