Răng khôn, hay còn gọi là răng hàm cối thứ ba, là những chiếc răng mọc cuối cùng trong khoang miệng của chúng ta. Việc chúng mọc lên khi nào, như thế nào và liệu có gây ra bất kỳ vấn đề nào hay không thường khiến nhiều người băn khoăn. Bao nhiêu tuổi mọc răng khôn là câu hỏi phổ biến, và bài viết này sẽ giúp bạn hiểu rõ hơn về quá trình mọc răng khôn, những dấu hiệu nhận biết, các vấn đề có thể gặp phải và cách chăm sóc răng miệng hiệu quả để đảm bảo sức khỏe răng miệng tốt nhất.
Răng khôn là gì?
Răng khôn, về bản chất, là những chiếc răng hàm cối thứ ba, nằm ở cuối cùng của hàm răng trên và dưới, cả hai bên. Thông thường, chúng sẽ bắt đầu mọc vào giai đoạn cuối của tuổi dậy thì hoặc những năm đầu của tuổi trưởng thành. Răng khôn đóng vai trò quan trọng trong việc nghiền nát thức ăn, tuy nhiên, do vị trí mọc sâu bên trong hàm, chúng thường không có đủ không gian để phát triển đúng cách, dẫn đến một số vấn đề sức khỏe răng miệng.

Một người mọc bao nhiêu răng khôn?
Một người bình thường có thể mọc tối đa 4 chiếc răng khôn, 2 ở hàm trên và 2 ở hàm dưới. Tuy nhiên, không phải ai cũng mọc đủ 4 chiếc. Có trường hợp người chỉ mọc 1, 2 hoặc 3 chiếc, thậm chí có người không mọc răng khôn nào. Sự khác biệt này phụ thuộc vào di truyền, cấu trúc xương hàm và các yếu tố khác.
Bao nhiêu tuổi mọc răng khôn?
Thông thường, răng khôn bắt đầu mọc vào khoảng từ 17 đến 25 tuổi, thậm chí có thể mọc muộn hơn ở một số trường hợp. Tuy nhiên, thời điểm mọc răng khôn có thể khác nhau ở mỗi người, phụ thuộc vào yếu tố di truyền, sức khỏe, chế độ dinh dưỡng và sự phát triển của xương hàm. Một số người có thể mọc răng khôn sớm hơn, một số khác có thể mọc muộn hơn.

Dấu hiệu mọc răng khôn?
Khi răng khôn bắt đầu nhú lên, bạn có thể nhận thấy một số dấu hiệu sau:
- Đau nhức, sưng tấy: Vùng lợi xung quanh răng khôn có thể bị sưng, đau nhức, thậm chí là nhức nhối dữ dội.
- Đau đầu, đau tai: Áp lực từ răng khôn mọc lên có thể gây ra đau đầu, đau tai, hoặc đau mặt.
- Viêm lợi: Vùng lợi xung quanh răng khôn có thể bị viêm, đỏ, sưng và dễ chảy máu.
- Khó mở miệng: Do sưng tấy, bạn có thể gặp khó khăn trong việc mở miệng hoặc nhai thức ăn.
- Hơi thở có mùi: Do thức ăn dễ bị mắc kẹt trong vùng răng khôn, gây ra tình trạng hơi thở có mùi hôi.
- Sốt nhẹ: Một số trường hợp có thể bị sốt nhẹ kèm theo các triệu chứng khác.
Một số tình trạng mọc răng khôn phổ biến
Răng khôn mọc không đúng cách có thể gây ra một số vấn đề sức khỏe răng miệng, trong đó phổ biến nhất là:
- Răng khôn mọc lệch: Răng mọc nghiêng, xiên hoặc bị chèn ép bởi các răng khác.
- Răng khôn mọc ngầm: Răng khôn chỉ mọc một phần hoặc nằm hoàn toàn dưới nướu, gây ra tình trạng áp xe, đau nhức.
- Viêm lợi trùm: Mô lợi bao phủ hoàn toàn răng khôn, tạo điều kiện cho vi khuẩn phát triển gây ra viêm nhiễm.
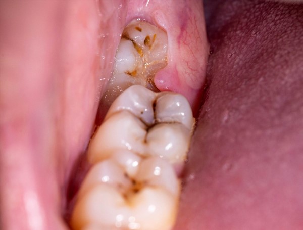
- Sâu răng: Răng khôn nằm ở vị trí khó vệ sinh, dễ bị tích tụ mảng bám, vi khuẩn gây sâu răng.

Bao nhiêu tuổi hết mọc răng? Các giai đoạn mọc răng ở người
Quá trình mọc răng ở người được chia thành 2 giai đoạn chính:
1. Giai đoạn mọc răng sữa
Giai đoạn này bắt đầu từ khi trẻ sơ sinh đến khoảng 6-7 tuổi. Trẻ sẽ mọc 20 chiếc răng sữa, bao gồm 4 răng cửa, 2 răng nanh, 4 răng hàm nhỏ và 4 răng hàm lớn ở mỗi hàm. Răng sữa giúp trẻ nhai, nghiền thức ăn và phát triển cấu trúc hàm, đồng thời giữ chỗ cho răng vĩnh viễn.
2. Giai đoạn mọc răng vĩnh viễn
Giai đoạn này kéo dài từ khoảng 6-7 tuổi đến 18-25 tuổi. Răng vĩnh viễn thay thế cho răng sữa, và mọc thêm các răng hàm cối, trong đó có răng khôn. Răng vĩnh viễn có tổng cộng 32 chiếc, bao gồm 8 răng cửa, 4 răng nanh, 8 răng tiền hàm và 12 răng hàm.

Nên nhổ răng khôn hay giữ lại?
Việc nên nhổ hay giữ lại răng khôn phụ thuộc vào nhiều yếu tố, bao gồm vị trí mọc, tình trạng răng, sức khỏe răng miệng và nguy cơ gây ra các vấn đề về sau.
Các trường hợp nên nhổ răng khôn
- Răng khôn mọc lệch, ngầm: Gây đau nhức, viêm nhiễm, ảnh hưởng đến các răng kế cận.
- Răng khôn gây tắc nghẽn: Cản trở việc vệ sinh răng miệng, gây sâu răng và viêm lợi.
- Răng khôn gây viêm nhiễm: Gây ra áp xe, đau nhức, ảnh hưởng đến sức khỏe răng miệng.
- Răng khôn gây tổn thương các răng khác: Gây xô lệch, mài mòn các răng bên cạnh.
- Răng khôn gây khó khăn trong việc niềng răng: Cản trở việc điều trị chỉnh nha hiệu quả.
Trường hợp nào không nên nhổ răng khôn?
- Răng khôn mọc thẳng, không gây ra vấn đề: Nếu răng khôn mọc thẳng, không gây đau nhức hay ảnh hưởng đến các răng khác, bạn có thể không cần phải nhổ.
- Sức khỏe răng miệng yếu: Nếu đang trong tình trạng sức khỏe răng miệng kém, bạn nên trì hoãn việc nhổ răng khôn.

Cách chăm sóc răng khôn mọc sớm không bị sâu
Việc chăm sóc răng khôn ngay từ khi mọc lên là rất quan trọng để ngăn ngừa các vấn đề sức khỏe răng miệng.
Vệ sinh răng miệng sạch sẽ
- Đánh răng hai lần mỗi ngày: Sử dụng bàn chải đánh răng có lông mềm và kem đánh răng chứa fluoride.
- Sử dụng chỉ nha khoa: Loại bỏ thức ăn thừa, mảng bám ở các kẽ răng, đặc biệt là vùng răng khôn.
- Vệ sinh răng miệng sau mỗi bữa ăn: Giúp loại bỏ mảng bám và thức ăn thừa.
Sử dụng nước súc miệng
Sử dụng nước súc miệng có chứa chất kháng khuẩn để làm sạch khoang miệng, tiêu diệt vi khuẩn và giảm nguy cơ viêm nhiễm.
Hạn chế cho trẻ ăn đồ ngọt
Đồ ngọt là môi trường lý tưởng cho vi khuẩn phát triển, gây sâu răng, đặc biệt là đối với răng khôn. Hạn chế cho trẻ ăn đồ ngọt, kẹo, bánh ngọt, nước ngọt… để bảo vệ sức khỏe răng miệng.

Kết luận
Việc mọc răng khôn là một quá trình tự nhiên của cơ thể, tuy nhiên không phải ai cũng trải qua giai đoạn này một cách suôn sẻ. Để đảm bảo sức khỏe răng miệng và tránh các biến chứng có thể xảy ra, bạn nên thăm khám định kỳ tại các cơ sở nha khoa uy tín. Nha Khoa Quốc Tế Joy với đội ngũ bác sĩ giàu kinh nghiệm và trang thiết bị hiện đại sẽ giúp bạn theo dõi quá trình mọc răng khôn và có phương pháp can thiệp kịp thời nếu cần thiết.
Ngoài ra, chúng tôi còn cung cấp nhiều dịch vụ nha khoa chất lượng cao khác như niềng răng, trồng implant, bọc răng sứ. Hãy liên hệ ngay với chúng tôi qua hotline 039 345 6872 hoặc truy cập website nhakhoaquoctejoy.vn để được tư vấn chi tiết và đặt lịch thăm khám.










