Nang chân răng là một bệnh lý răng miệng phổ biến, tiềm ẩn nhiều nguy cơ nếu không được phát hiện và điều trị kịp thời. Từ những dấu hiệu ban đầu khó nhận biết đến các biến chứng nghiêm trọng như mất răng vĩnh viễn và biến dạng khuôn mặt, hiểu rõ về căn bệnh này là điều cần thiết để bảo vệ sức khỏe răng miệng.

Nang chân răng là gì?
Nang chân răng, hay còn gọi là nang chóp răng, là một cấu trúc biểu mô chứa dịch nằm bên trong xương hàm, thường liên quan đến nhiễm trùng. Hầu hết các nang chân răng bắt nguồn từ tình trạng răng sâu không được điều trị kịp thời, dẫn đến viêm nhiễm tủy răng. Khi tủy răng bị hoại tử do vi khuẩn tấn công, các độc tố được giải phóng, gây ra viêm nhiễm tại vùng chóp răng.
Quá trình viêm này phá hủy các tế bào biểu mô Malassez trong dây chằng quanh răng, tạo điều kiện cho sự hình thành nang. Nang dần phát triển bên trong xương hàm, thường phổ biến hơn ở hàm trên, đặc biệt là vùng răng cửa. Nếu không được xử lý, nang sẽ ngày càng lớn, chèn ép xương hàm và gây ra nhiều biến chứng nguy hiểm. Hình ảnh nang chân răng nằm trong xương hàm thường được mô tả như một khối u nang chứa dịch, bao bọc bởi lớp màng biểu mô.
Dấu hiệu nhận biết nang chân răng

Trong giai đoạn đầu, nang chân răng thường chỉ gây ra những thay đổi rất tinh tế về màu sắc của răng, đặc biệt ở phần chân răng. Tuy nhiên, dấu hiệu này khó nhận biết và dễ bị bỏ qua, dẫn đến việc chậm trễ trong điều trị. Khi nang phát triển lớn hơn, các triệu chứng rõ ràng hơn sẽ xuất hiện, bao gồm:
- Sưng phồng và đau nhức ở xương hàm: Vùng xương hàm bị ảnh hưởng sẽ sưng lên, gây đau nhức và có thể dẫn đến biến dạng khuôn mặt.
- Cảm giác mềm, lõm khi ấn vào vùng sưng: Khi ấn nhẹ vào vùng xương hàm sưng tấy, bạn sẽ cảm nhận được độ mềm và lõm bất thường.
- Răng bị lung lay: Sự phát triển của nang làm tiêu hao xương ổ răng, khiến răng trở nên lung lay và không bám chắc.
- Chảy mủ và mùi hôi miệng: Viêm nhiễm nặng có thể gây chảy mủ từ vùng bị ảnh hưởng, dẫn đến mùi hôi khó chịu trong khoang miệng.
Nang chân răng có nguy hiểm không?
Nang chân răng là một bệnh lý nguy hiểm, phát triển âm thầm và thường được phát hiện khi đã có kích thước lớn. Sự phát triển của nang gây ra tiêu xương hàm, giải phóng độc tố, và ảnh hưởng nghiêm trọng đến cấu trúc xương.
Kích thước của nang càng lớn, mức độ tiêu xương càng nghiêm trọng. Tình trạng này có thể dẫn đến tạo thành một hốc lớn trong xương hàm, khiến xương mỏng và dễ gãy. Việc tiêu xương cũng làm giảm khả năng nâng đỡ răng, gây lung lay răng và thậm chí là rụng răng vĩnh viễn. Ngoài ra, biến dạng khuôn mặt do nang chân răng gây ra cũng ảnh hưởng đến thẩm mỹ và tâm lý của người bệnh.
Chẩn đoán nang chân răng
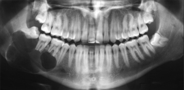
Để chẩn đoán nang chân răng chính xác, bác sĩ nha khoa Quốc Tế Joy sẽ sử dụng phương pháp chụp phim X-quang. Hình ảnh X-quang cho phép quan sát toàn bộ khoang miệng, bao gồm răng, mô mềm, chân răng, xương hàm và tủy răng.

Trên phim X-quang, nang chân răng thường xuất hiện dưới dạng một vùng sáng hình oval hoặc tròn, dính liền với chân răng đã bị chết tủy. Răng thường có lỗ sâu, rộng; vùng chóp răng nằm trong khu vực thấu quang, và dây chằng quanh răng bị giãn rộng.
Trong trường hợp nang chân răng bị nhiễm khuẩn, ranh giới của nang khó xác định hơn do sự giãn mạch và viêm nhiễm. Dựa trên kết quả phim X-quang, bác sĩ sẽ đánh giá kích thước và mức độ nghiêm trọng của nang để lên kế hoạch điều trị phù hợp.
Điều trị nang chân răng

Phương pháp điều trị nang chân răng phụ thuộc vào kích thước của nang.
Nang chân răng nhỏ
Đối với nang chân răng nhỏ, không ảnh hưởng quá 1/3 xương chân răng, bác sĩ thường giữ lại răng. Quá trình điều trị bao gồm: làm sạch tủy răng bị viêm, hàn ống tủy, cắt cuống răng và loại bỏ vỏ nang. Việc này sẽ giúp ngăn ngừa các biến chứng nghiêm trọng hơn.
Nang chân răng lớn
Với nang chân răng lớn, đã làm tiêu biến hơn 1/3 xương chân răng và gây ra tình trạng răng lung lay nhiều, bác sĩ sẽ chỉ định nhổ bỏ răng và phẫu thuật loại bỏ nang.
Sau khi loại bỏ nang, nếu lỗ hổng ở xương hàm nhỏ, cơ thể sẽ tự bù đắp. Tuy nhiên, đối với lỗ hổng lớn, bác sĩ có thể cần trám bằng vật liệu tự thân hoặc vật liệu nhân tạo. Trong trường hợp này, việc trồng răng Implant sớm sẽ giúp phục hồi chức năng ăn nhai, thẩm mỹ và ngăn ngừa tiêu xương hàm sau khi mất răng. Implant sẽ thay thế chân răng thật, duy trì áp lực lên xương hàm thông qua lực nhai, giúp xương chắc khỏe hơn.
Tóm lại
Nang chân răng là bệnh lý nguy hiểm cần được phát hiện và điều trị sớm để tránh các biến chứng nghiêm trọng như mất răng vĩnh viễn, biến dạng khuôn mặt và các vấn đề sức khỏe răng miệng khác. Việc thăm khám nha khoa định kỳ và điều trị kịp thời các bệnh răng miệng là rất quan trọng để bảo vệ sức khỏe răng miệng toàn diện.










