Niềng răng là một trong những phương pháp chỉnh nha phổ biến hiện nay, không chỉ giúp cải thiện chức năng ăn nhai mà còn mang lại nụ cười tự tin cho người sử dụng. Trong số các phương pháp niềng răng hiện có, niềng răng mắc cài pha lê đang ngày càng được ưa chuộng nhờ vào tính thẩm mỹ và hiệu quả điều trị cao. Bài viết này, Nha khoa Quốc tế Joy sẽ giúp bạn hiểu rõ hơn về phương pháp niềng răng mắc cài pha lê, những ưu nhược điểm của nó, chi phí cũng như quy trình thực hiện.
Niềng răng mắc cài pha lê là gì?
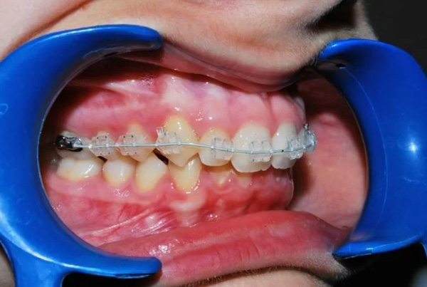
Niềng răng mắc cài pha lê là một phương pháp niềng răng thẩm mỹ hiện đại, sử dụng hệ thống mắc cài bằng pha lê kết hợp với dây cung màu trắng, mang lại tính thẩm mỹ cao cho người bệnh. Nguyên lý hoạt động của phương pháp này tương tự như niềng răng mắc cài thông thường, nhưng các mắc cài được chế tạo từ pha lê rãnh titan hoặc pha lê trong suốt, giúp hạn chế tình trạng kém thẩm mỹ mà niềng răng mắc cài kim loại thường gặp phải.

Phương pháp này phù hợp cho nhiều người, đặc biệt là những ai chú trọng đến thẩm mỹ và muốn tránh lộ mắc cài, cũng như hiệu quả đối với các trường hợp răng hô, móm hay lệch nhẹ.
Vì sao niềng răng pha lê trở thành lựa chọn phổ biến?
Dù không có độ bền chắc như niềng răng mắc cài kim loại truyền thống và có chi phí nhỉnh hơn một chút, nhưng niềng răng mắc cài pha lê vẫn được nhiều khách hàng, đặc biệt là giới trẻ, ưa chuộng. Khi lựa chọn phương pháp chỉnh nha này, khách hàng có thể hoàn toàn yên tâm về kết quả đạt được và thường cảm thấy hài lòng nhờ vào những ưu điểm vượt trội mà phương pháp mang lại, bao gồm:

Hiệu quả nắn chỉnh răng vượt trội
Ngoại trừ những trường hợp sai khớp cắn quá phức tạp, niềng răng mắc cài pha lê là phương pháp lý tưởng để khắc phục nhiều khuyết điểm như răng hô, móm, răng thưa, mọc lệch hoặc khấp khểnh. Khi sử dụng phương pháp này, răng sẽ được điều chỉnh dần dần về vị trí mong muốn, giúp chúng thẳng hàng và đều đặn hơn.
Tính thẩm mỹ vượt trội trong suốt quá trình điều trị
Mắc cài pha lê không gây tương phản với màu răng, nên rất khó nhận biết từ xa. Ngoài ra, chất liệu này còn thể hiện cá tính của người dùng. Hiện nay, thị trường cũng cung cấp các loại dây cung có màu sắc tương tự màu răng, giúp nâng cao tính thẩm mỹ trong quá trình niềng răng.
An toàn và lành tính cho răng miệng
Niềng răng mắc cài pha lê được thiết kế với chất liệu pha lê trơn láng, không có góc cạnh, do đó không gây kích thích cho mô mềm khi tiếp xúc như các phương pháp truyền thống.
Hiện tại, Nha khoa Quốc tế Joy tạm ngưng cung cấp dịch vụ niềng răng mắc cài pha lê. Thay vào đó, Nha khoa Quốc tế Joy đã cập nhật công nghệ niềng răng Optimal Align tiên tiến, giúp khách hàng có thể nhìn thấy trước kết quả điều trị, đồng thời đảm bảo sự an toàn và thoải mái trong suốt quá trình niềng răng, mang đến nụ cười như mong đợi.
Niềng răng mắc cài pha lê có tốt không?
Niềng răng mắc cài pha lê là một trong những phương pháp chỉnh nha tiên tiến, được đông đảo người tiêu dùng yêu thích nhờ vào tính hiệu quả cũng như giá trị thẩm mỹ mà nó mang lại. Giống như các phương pháp niềng răng khác, niềng răng mắc cài pha lê cũng có những ưu điểm và nhược điểm riêng.

Ưu điểm của niềng răng mắc cài pha lê
Niềng răng mắc cài pha lê là một giải pháp chỉnh nha tiên tiến, mang đến nhiều lợi ích nổi bật so với các phương pháp truyền thống. Dưới đây là những ưu điểm đáng chú ý của niềng răng mắc cài pha lê:
- Tính thẩm mỹ cao: Mắc cài pha lê có màu sắc tương đồng với màu răng, giúp bạn yên tâm về việc lộ mắc cài, khác với niềng răng kim loại. Bạn có thể tự tin giao tiếp và nói chuyện trước đám đông mà không phải lo lắng. Đặc biệt, với những người thường xuyên phải giao tiếp hoặc làm công việc đối ngoại, niềng răng bằng mắc cài pha lê là lựa chọn rất phù hợp.
- An toàn cho răng miệng: Chất liệu pha lê thường ít gây kích ứng và rất an toàn cho người sử dụng. Tuy nhiên, để đảm bảo an toàn tuyệt đối, bạn nên kiểm tra xem mình có bị dị ứng với pha lê hoặc kim loại hay không trước khi bắt đầu niềng răng.
- Hiệu quả chỉnh nha cao: Theo ý kiến của các bác sĩ chuyên khoa niềng răng, phương pháp niềng răng mắc cài pha lê có thể can thiệp hiệu quả vào các khiếm khuyết như răng mọc lệch lạc, hô hoặc móm với mức độ từ trung bình đến phức tạp.

Với những ưu điểm vượt trội trên, niềng răng mắc cài pha lê đang ngày càng trở thành lựa chọn hàng đầu cho những ai mong muốn sở hữu một nụ cười đẹp mà vẫn giữ được tính thẩm mỹ trong quá trình điều trị.
Hạn chế của niềng răng mắc cài pha lê
Bên cạnh những ưu điểm nổi bật, niềng răng bằng mắc cài pha lê cũng có một số hạn chế nhất định như:
- Chất liệu pha lê dễ bị vỡ: So với mắc cài kim loại truyền thống, niềng răng bằng mắc cài pha lê thường kém bền hơn do chất liệu pha lê không chắc chắn bằng. Nếu bạn lo ngại về việc mắc cài dễ bị vỡ, nên hạn chế va chạm từ bên ngoài và tránh tiêu thụ thực phẩm dai hoặc cứng.
- Mắc cài dễ bị nhiễm màu: Mắc cài pha lê thường có màu trắng trong và dễ bị chuyển màu nếu không được vệ sinh răng miệng kỹ lưỡng trong quá trình niềng. Nếu không chăm sóc răng miệng cẩn thận, dây thun và mắc cài có thể bị ố màu, làm giảm tính thẩm mỹ của khuôn hàm.

Tóm lại, mặc dù niềng răng mắc cài pha lê sở hữu nhiều ưu điểm nổi bật, người dùng cũng cần xem xét kỹ lưỡng các yếu tố hạn chế trên trước khi quyết định lựa chọn phương pháp này.
Đối tượng phù hợp niềng răng mắc cài pha lê
Phương pháp niềng răng mắc cài pha lê đã trở thành một lựa chọn lý tưởng cho nhiều đối tượng khác nhau, đặc biệt là những ai mong muốn điều chỉnh hàm răng mà vẫn giữ được vẻ đẹp ngoại hình trong suốt quá trình điều trị. Niềng răng mắc cài pha lê phù hợp với những trường hợp mắc khiếm khuyết về răng miệng như sau:
- Răng hô: Đây là tình trạng sai lệch giữa hai hàm, trong đó răng hàm trên chìa ra quá mức so với bình thường. Răng hô không chỉ làm mất đi vẻ đẹp ngoại hình mà còn ảnh hưởng đến khả năng ăn nhai.
- Răng móm: Còn được gọi là khớp cắn ngược, tình trạng này xảy ra khi cung hàm dưới nhô ra nhiều hơn cung hàm trên. Răng móm khiến gương mặt trông kém thẩm mỹ và có thể tạo cảm giác như bị gãy.
- Răng lệch lạc: Tình trạng này diễn ra khi các răng trên cung hàm chen chúc lẫn nhau, khấp khểnh, hoặc mọc sai vị trí, gây ra sự lệch lạc trong khớp cắn.
- Răng thưa: Khi các răng không sát khít nhau, sẽ xuất hiện các kẽ hở. Kẽ hở càng lớn thì mức độ răng thưa càng nghiêm trọng, dễ dẫn đến các bệnh lý răng miệng và ảnh hưởng đến thẩm mỹ.

Niềng răng mắc cài pha lê không những mang lại hiệu quả chỉnh nha tối ưu mà còn bảo đảm tính thẩm mỹ cao, phù hợp với nhu cầu của nhiều nhóm đối tượng. Tuy nhiên, trước khi đưa ra quyết định niềng răng, bạn nên tham khảo ý kiến của bác sĩ chuyên khoa để nhận được tư vấn chi tiết và lựa chọn phương pháp phù hợp nhất với tình trạng sức khỏe răng miệng của bản thân.
Chi phí niềng răng mắc cài pha lê là bao nhiêu?
Niềng răng mắc cài pha lê sử dụng các mắc cài đặc biệt được làm từ pha lê, mang lại tính thẩm mỹ cao trong suốt quá trình điều trị. Do đó, chi phí cho phương pháp này thường cao hơn nhiều so với các loại niềng răng truyền thống sử dụng mắc cài kim loại. Hiện nay, bảng giá niềng răng mắc cài pha lê dao động từ 45 – 57 triệu đồng.
Hãy cùng tham khảo thêm bảng giá các phương pháp niềng răng khác dưới đây để có cái nhìn rõ hơn về chi phí và lựa chọn phương pháp niềng phù hợp với nhu cầu của bạn.
| NIỀNG RĂNG MẮC CÀI | |
|---|---|
| LOẠI | CHI PHÍ (VND) |
| Niềng răng mắc cài kim loại | 25.000.000 - 50.000.000 |
| Mắc cài kim loại thông minh | 35.000.000 - 60.000.000 |
| Mắc cài sứ tự buộc | 35.000.000 - 70.000.000 |
| Mắc cài mặt lưỡi | 50.000.000 - 70.000.000 |
| Mắc cài sứ pha lê | 35.000.000 - 60.000.000 |
Vì vậy, trước khi quyết định niềng răng, bạn nên tìm hiểu kỹ về các địa chỉ nha khoa và các yếu tố ảnh hưởng đến chi phí để có sự lựa chọn hợp lý nhất cho bản thân.
So sánh niềng răng mắc cài pha lê và niềng răng mắc cài sứ
Việc so sánh giữa niềng răng mắc cài pha lê và niềng răng mắc cài sứ giúp bạn có cái nhìn tổng quát hơn về hai phương pháp này.
Phương pháp niềng răng mắc cài pha lê và mắc cài sứ đều được sản xuất với tiêu chí thẩm mỹ hàng đầu. Tuy nhiên, giữa chúng cũng có những điểm khác biệt nhất định. Cùng khám phá những điểm khác biệt này để có cái nhìn tổng quan và lựa chọn phương pháp phù hợp nhất cho bạn.
| Tiêu chí | Mắc cài pha lê | Mắc cài sứ |
|---|---|---|
| Thẩm mỹ | – Trong suốt, không màu, đảm bảo tính thẩm mỹ cao. – Người đối diện rất khó phát hiện bạn đang niềng răng. Thẩm mỹ hơn so với mắc cài sứ và niềng răng kim loại. |
– Có màu sắc tương đồng với màu răng. – Tính thẩm mỹ cao, nhưng không bằng mắc cài pha lê. |
| Độ bền | – Độ bền không cao, dễ vỡ khi va chạm mạnh. | – Độ bền cao hơn, khó bị bung, vỡ khi va chạm mạnh. |
| Độ tiện lợi | – Thiết kế to, chiếm nhiều vị trí trên bề mặt răng, gây vướng víu khó chịu. | – Thiết kế góc cạnh, nhỏ nhắn hơn, mang lại sự thoải mái trong sinh hoạt hàng ngày. |
| Chi phí | 45 – 50 triệu | 42 – 50 triệu |
| Lực tác động | – Lực kéo của dây cung, mắc cài yếu hơn, dẫn đến hiệu quả chỉnh nha kém hơn so với mắc cài sứ. | – Lực kéo của dây cung, mắc cài diễn ra liên tục, ổn định, mang lại hiệu quả chỉnh nha cao. |
Hy vọng bảng so sánh này giúp bạn có cái nhìn rõ hơn về hai phương pháp niềng răng này!
Thời gian niềng răng mắc cài pha lê bao lâu?
Niềng răng mắc cài pha lê thường có lực kéo yếu hơn so với các phương pháp niềng khác, vì vậy thời gian điều trị có thể kéo dài hơn. Thời gian đeo niềng mắc cài pha lê thường dao động từ 1 đến 3 năm, tùy thuộc vào phác đồ điều trị của bác sĩ và tình trạng răng miệng cụ thể của từng bệnh nhân.
Ngoài ra, cách chăm sóc răng miệng trong quá trình niềng cũng ảnh hưởng đến thời gian điều trị. Như đã đề cập, mắc cài pha lê dễ bị nứt vỡ hơn so với mắc cài sứ và mắc cài kim loại. Do đó, trong quá trình ăn nhai và sinh hoạt hàng ngày, nếu mắc cài bị tổn hại, người niềng sẽ phải đến nha khoa để gắn mắc cài mới. Điều này không chỉ tốn thời gian và công sức mà còn có thể làm kéo dài quy trình niềng răng.
Quy trình niềng răng mắc cài pha lê tại nha khoa Quốc tế Joy
Quy trình niềng răng mắc cài pha lê tại Nha khoa Quốc tế Joy được thiết kế theo tiêu chuẩn y khoa nghiêm ngặt, nhằm đảm bảo an toàn và hiệu quả tối ưu cho từng bệnh nhân. Dưới đây là các bước cơ bản trong quy trình này:
Khám và tư vấn
Bác sĩ sẽ thực hiện một cuộc khám tổng quát để đánh giá tình trạng sức khỏe răng miệng của bạn. Qua việc chụp X-quang, bác sĩ có thể xác định độ sai lệch của răng và khớp cắn. Từ đó, bác sĩ sẽ tư vấn phương pháp niềng răng phù hợp nhất và lập kế hoạch điều trị chi tiết, giúp bạn hiểu rõ hơn về quá trình sắp tới.

Lấy dấu răng
Khi đã thống nhất với kế hoạch điều trị, bác sĩ sẽ tiến hành lấy dấu răng của bạn. Đây là bước quan trọng để thiết kế mắc cài pha lê chính xác, đảm bảo rằng chúng sẽ vừa vặn với cấu trúc răng của bạn, từ đó nâng cao hiệu quả chỉnh nha.

Gắn mắc cài
Bác sĩ sẽ gắn mắc cài pha lê lên răng bằng loại keo nha khoa chuyên dụng, giúp cố định chắc chắn. Sau đó, dây cung sẽ được đặt vào các rãnh của mắc cài và giữ chặt bằng thun liên hàm nếu cần thiết, tạo ra lực kéo ổn định cho quá trình dịch chuyển răng.

Theo dõi và điều chỉnh
Quá trình niềng răng cần kết hợp với việc thăm khám định kỳ, thường từ 4-6 tuần một lần. Tại những buổi hẹn này, bác sĩ sẽ kiểm tra sự tiến triển và thực hiện các điều chỉnh cần thiết đối với mắc cài và dây cung, đảm bảo rằng mọi thứ diễn ra theo đúng kế hoạch.
Hoàn tất điều trị
Khi răng đã được điều chỉnh về vị trí mong muốn, bác sĩ sẽ tháo bỏ mắc cài và hướng dẫn bạn cách chăm sóc răng miệng sau khi niềng. Bạn cũng có thể cần đeo hàm duy trì để giữ cho răng không trở lại vị trí cũ, giúp đạt được kết quả lâu dài.

Với đội ngũ bác sĩ có chuyên môn cao và kinh nghiệm dày dạn, quy trình niềng răng mắc cài pha lê tại Nha khoa Quốc tế Joy cam kết mang lại kết quả điều trị tốt nhất cho từng bệnh nhân.
Những lưu ý khi niềng răng mắc cài pha lê
Để có được kết quả tốt nhất khi niềng răng mắc cài pha lê, bạn cần lưu ý một số điều sau:
- Chọn nha khoa uy tín: Việc lựa chọn nha khoa uy tín với đội ngũ bác sĩ giỏi và trang thiết bị hiện đại là cực kỳ quan trọng. Một cơ sở chất lượng cao sẽ đảm bảo dịch vụ tốt và kết quả điều trị hiệu quả.
- Chế độ ăn uống: Trong thời gian niềng răng, bạn nên hạn chế ăn thức ăn cứng, dai để tránh làm vỡ mắc cài pha lê. Đồng thời, hãy uống đủ nước và bổ sung các thực phẩm giàu vitamin để bảo vệ sức khỏe răng miệng.
- Vệ sinh răng miệng: Cần vệ sinh răng miệng sạch sẽ và đúng cách để tránh tình trạng tích tụ mảng bám, vi khuẩn gây hại cho răng miệng. Sử dụng bàn chải mềm và chỉ nha khoa để làm sạch các vùng xung quanh mắc cài.
- Kiểm tra định kỳ: Việc đến nha khoa kiểm tra định kỳ theo lịch hẹn của bác sĩ là rất cần thiết. Điều này giúp bạn theo dõi quá trình niềng và điều chỉnh lực kéo kịp thời để đạt kết quả tốt nhất.

Niềng răng mắc cài pha lê là một phương pháp niềng răng hiệu quả, an toàn với tính thẩm mỹ cao, phù hợp với nhiều đối tượng. Tuy nhiên, bạn cần cân nhắc kỹ lưỡng trước khi quyết định niềng răng mắc cài pha lê, lựa chọn nha khoa uy tín và bác sĩ giỏi để đảm bảo chất lượng và hiệu quả niềng răng. Hy vọng bài viết này đã cung cấp cho bạn thông tin hữu ích về niềng răng mắc cài pha lê.
Đọc thêm:










