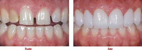
Trám răng thưa giúp khắc phục tình trạng răng không khít sát nhau, tạo ra khoảng trống giữa các răng. Tình trạng này không chỉ ảnh hưởng đến tính thẩm mỹ của nụ cười mà còn có thể gây ra nhiều vấn đề sức khỏe răng miệng khác. Với sự phát triển của công nghệ nha khoa, ngày nay việc trám răng thưa trở nên dễ dàng và an toàn hơn bao giờ hết.
Trám Răng Thưa Là Gì?
Đây là phương pháp sử dụng vật liệu trám để lấp đầy khoảng trống giữa các răng, nhằm cải thiện vẻ đẹp thẩm mỹ cũng như phục hồi chức năng ăn nhai. Quy trình trám răng thưa thường diễn ra nhanh chóng và không yêu cầu phẫu thuật, do đó được nhiều người ưa chuộng.
Nguyên lý hoạt động của phương pháp trám răng thưa khá đơn giản. Bác sĩ sẽ đưa ra lựa chọn vật liệu trám phù hợp với tình trạng răng miệng của từng bệnh nhân, sau đó tiến hành thực hiện theo quy trình chuyên nghiệp. Vật liệu trám này không chỉ giúp làm đầy khoảng trống mà còn bảo vệ cho men răng khỏi sự tấn công của vi khuẩn và thức ăn.
Trám răng thưa không chỉ dừng lại ở việc “lấp đầy” khoảng trống mà còn mang lại nhiều lợi ích về mặt tâm lý cho bệnh nhân. Một nụ cười đẹp giúp tăng cường sự tự tin, từ đó ảnh hưởng tích cực đến cuộc sống cá nhân và công việc của bạn.

Nguyên Nhân Gây Ra Răng Thưa
Tình trạng răng thưa thường xuất hiện không chỉ ở người lớn mà còn ở trẻ em. Có rất nhiều nguyên nhân dẫn đến tình trạng này, mỗi nguyên nhân đều có những đặc điểm riêng biệt.
- Di truyền: Di truyền chính là một trong những nguyên nhân hàng đầu gây ra tình trạng răng thưa. Nếu bố mẹ có răng thưa, nguy cơ con cái cũng mắc phải tình trạng tương tự là rất cao.
- Phát triển hàm răng không đồng đều: Hàm răng có thể phát triển không đồng đều, dẫn đến các răng không khít sát với nhau. Điều này thường xảy ra do sự phát triển của xương hàm không cân đối, hoặc do các yếu tố bên ngoài như chấn thương, va đập.
- Thói quen xấu: Các thói quen như mút tay, đẩy lưỡi hoặc cắn môi có thể gây ảnh hưởng tiêu cực đến vị trí của răng. Những thói quen này có thể khiến răng lệch lạc theo thời gian, tạo ra khoảng trống giữa các răng.
- Mất răng sớm: Khi một chiếc răng bị mất, các răng lân cận sẽ có xu hướng di chuyển về phía khoảng trống đó. Điều này khiến cho tình trạng răng thưa càng trở nên nghiêm trọng hơn.
- Viêm nha chu và các bệnh lý khác: Bệnh viêm nha chu có thể làm tổn thương đến xương ổ răng, dẫn đến tình trạng răng lung lay và xô lệch. Ngoài ra, một số bệnh lý khác như u nang, u xương hàm cũng có thể ảnh hưởng đến vị trí của răng, gây ra tình trạng răng thưa.

Lợi Ích Của Việc Trám Răng Thưa
Trám răng thưa không chỉ mang lại vẻ đẹp thẩm mỹ mà còn có nhiều lợi ích khác đáng kể cho sức khỏe răng miệng.
- Khắc phục tình trạng răng thưa: Phương pháp trám răng thưa giúp lấp đầy khoảng trống giữa các răng, từ đó cải thiện nụ cười của bạn. Một nụ cười đều đẹp sẽ giúp bạn tự tin hơn trong giao tiếp, tạo ấn tượng tốt với người đối diện.
- Bảo vệ sức khỏe răng miệng: Vật liệu trám răng có khả năng bảo vệ men răng khỏi tác động của vi khuẩn, thức ăn và đồ uống. Điều này giúp ngăn ngừa tình trạng sâu răng và các bệnh lý khác liên quan đến răng miệng.
- Giảm thiểu tình trạng hôi miệng: Khoảng trống giữa các răng là nơi lý tưởng cho vi khuẩn tích tụ, gây ra mùi hôi khó chịu. Trám răng thưa giúp làm sạch các kẽ răng, từ đó giảm thiểu tình trạng hôi miệng hiệu quả.
- Nâng cao khả năng ăn nhai: Phương pháp này giúp phục hồi chức năng ăn nhai của răng, giúp bệnh nhân ăn uống dễ dàng hơn. Điều này đặc biệt quan trọng đối với những người cao tuổi hoặc có vấn đề về sức khỏe răng miệng.
- Chi phí thấp hơn so với các phương pháp khác: So với các phương pháp chỉnh nha khác như niềng răng hay trồng răng implant, trám răng có chi phí thấp hơn đáng kể.

Trường hợp nào cần trám răng cửa
Mặc dù trám răng thưa là một phương pháp hiệu quả nhưng không phải trường hợp nào cũng phù hợp áp dụng phương pháp này.
- Răng cửa bị thưa nhẹ: Trường hợp đầu tiên là răng cửa bị thưa nhẹ, khoảng cách giữa các răng không quá lớn. Việc trám răng trong trường hợp này sẽ giúp cải thiện hình dáng và nét thẩm mỹ của hàm răng mà không cần can thiệp phức tạp.
- Răng cửa bị sứt mẻ hoặc mòn men: Răng cửa bị sứt mẻ hay mòn men cũng là một trường hợp có thể xem xét trám răng. Việc khắc phục tình trạng này không chỉ giúp cải thiện vẻ đẹp mà còn bảo vệ răng khỏi các tác động bên ngoài.
- Răng đổi màu, ố vàng: Nếu răng cửa bị đổi màu hoặc ố vàng, trám răng thưa cũng là một giải pháp hữu ích. Vật liệu trám có thể giúp che đi những khuyết điểm về màu sắc, trả lại vẻ đẹp tự nhiên cho hàm răng.
- Răng cửa bị tổn thương: Đối với các trường hợp răng cửa bị tổn thương do chấn thương hoặc sâu răng, trám răng thưa có thể giúp khôi phục lại hình dáng và chức năng của răng. Tuy nhiên, trước khi quyết định, bạn nên tham khảo ý kiến bác sĩ để có quyết định chính xác nhất.

Quy Trình Trám Răng Thưa Thẩm Mỹ
Một quy trình trám răng thưa được thực hiện bài bản sẽ giúp đảm bảo hiệu quả và sự an toàn cho bệnh nhân. Dưới đây là các bước chính trong quy trình trám răng thưa thẩm mỹ.
- Vệ sinh răng miệng: Trước khi bắt đầu quá trình trám răng, bác sĩ sẽ tiến hành vệ sinh răng miệng kỹ lưỡng. Việc này giúp loại bỏ mảng bám, cao răng và tạo điều kiện thuận lợi cho quá trình trám răng.
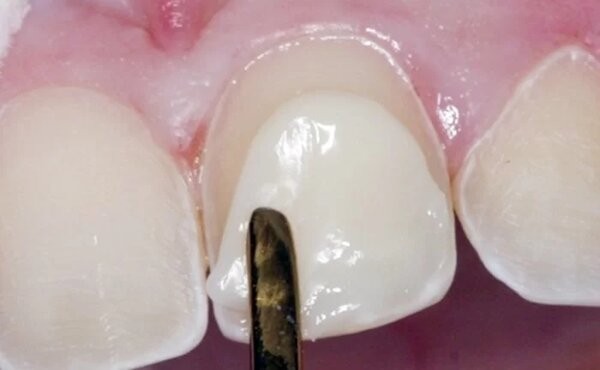
- Mài chỉnh bề mặt răng: Sau khi vệ sinh, bác sĩ sẽ mài chỉnh bề mặt răng cần trám sao cho phù hợp với vật liệu trám. Bước này rất quan trọng vì nó quyết định đến độ bám dính của vật liệu trám trên bề mặt răng.
- Chọn màu sắc vật liệu trám: Lựa chọn màu sắc vật liệu trám là một bước quan trọng trong quy trình trám răng thưa. Bác sĩ sẽ lựa chọn màu sắc sao cho phù hợp với màu răng tự nhiên của bệnh nhân, giúp đạt được kết quả thẩm mỹ tối ưu.
- Tiến hành trám răng: Sau khi đã chuẩn bị tất cả các bước trên, bác sĩ sẽ tiến hành thực hiện trám răng. Sử dụng vật liệu trám để lấp đầy khoảng trống giữa các răng giúp cải thiện vẻ đẹp tổng thể của hàm răng.
- Hoàn thiện và đánh bóng: Sau khi hoàn tất quá trình trám răng, bác sĩ sẽ thực hiện đánh bóng bề mặt trám để tạo độ bóng và mịn màng cho răng. Bước này giúp giảm thiểu sự bám dính của thức ăn và vi khuẩn lên bề mặt răng.

Trám răng thưa bao nhiêu tiền?
Chi phí trám răng thưa luôn là một yếu tố quan trọng mà nhiều người quan tâm. Mức giá này phụ thuộc vào nhiều yếu tố khác nhau.
- Tình trạng răng miệng: Mức độ răng thưa, số lượng răng cần trám và tình trạng răng miệng tổng thể sẽ ảnh hưởng đến chi phí trám răng thưa. Những trường hợp răng thưa nặng hoặc cần trám nhiều răng sẽ có chi phí cao hơn.
- Vật liệu trám: Có nhiều loại vật liệu trám với giá thành khác nhau. Ví dụ, vật liệu composite thường có chi phí thấp hơn so với amalgam hay gốm sứ. Việc lựa chọn loại vật liệu phù hợp cũng ảnh hưởng đến mức giá cuối cùng.
- Địa chỉ nha khoa: Chi phí trám răng tại các nha khoa tư nhân thường cao hơn so với các nha khoa công lập. Tuy nhiên, việc chọn lựa nha khoa uy tín có bác sĩ giỏi, trang thiết bị hiện đại cũng là một yếu tố quan trọng không thể bỏ qua.
- Kỹ thuật trám: Sử dụng kỹ thuật trám tiên tiến, hiện đại sẽ có chi phí cao hơn. Những kỹ thuật mới thường mang lại kết quả tốt hơn và thời gian duy trì cũng lâu hơn.
Thông thường, chi phí trám răng thưa cho một răng dao động từ 300.000 đến 1.500.000 đồng. Nếu bạn cần trám nhiều răng, chi phí sẽ tăng lên đáng kể.

Một vài lưu ý sau khi trám răng cửa thưa
Để duy trì hiệu quả của việc trám răng thưa lâu dài, bệnh nhân cần lưu ý một số vấn đề sau:
- Chế độ ăn uống: Nên tránh ăn các thực phẩm cứng, dai dễ làm bong tróc vật liệu trám. Các món ăn như kẹo cứng, xương hoặc các loại thực phẩm có độ giòn cao có thể làm tổn thương vật liệu trám.
- Vệ sinh răng miệng: Việc vệ sinh răng miệng đúng cách là rất quan trọng. Bạn nên chải răng đều đặn 2 lần/ngày và sử dụng chỉ nha khoa để làm sạch kẽ răng. Điều này giúp ngăn ngừa sự tích tụ của vi khuẩn và mảng bám.
- Hạn chế sử dụng các chất kích thích: Tránh hút thuốc lá, uống rượu bia, cà phê… vì chúng có thể làm ảnh hưởng đến màu sắc của vật liệu trám. Việc giữ gìn vệ sinh răng miệng đóng vai trò quan trọng trong việc bảo vệ sức khỏe răng miệng cũng như tuổi thọ của vật liệu trám.
- Đến nha khoa tái khám định kỳ: Theo lịch hẹn của nha sĩ để kiểm tra tình trạng răng miệng và phát hiện kịp thời những vấn đề bất thường. Việc này giúp bạn sớm xử lý các tình huống phát sinh, đảm bảo sức khỏe răng miệng luôn được duy trì.

Câu Hỏi Thường Gặp Về Trám Răng Thưa
Trong quá trình tìm hiểu về trám răng thưa, nhiều người thường đặt ra các câu hỏi có liên quan. Dưới đây là một số câu hỏi thường gặp cùng với câu trả lời chi tiết.
Trám răng thưa có đau không?
Trong quá trình trám răng, bác sĩ sẽ tiến hành gây tê tại chỗ để đảm bảo bạn không cảm thấy đau. Tuy nhiên, sau khi thuốc tê hết tác dụng, bạn có thể cảm thấy hơi ê buốt nhẹ tại vị trí trám. Tình trạng này thường không kéo dài lâu và sẽ hết sau 1-2 ngày.
Trám răng thưa có bền không?
Độ bền của vật liệu trám phụ thuộc vào nhiều yếu tố như kỹ thuật trám, chất lượng vật liệu và cách chăm sóc răng miệng của bạn. Thông thường, vật liệu composite có tuổi thọ từ 3 đến 5 năm, trong khi đó vật liệu gốm sứ có tuổi thọ lâu hơn, có thể lên tới 10 năm.
Trám răng thưa có ảnh hưởng đến sức khỏe không?
Vật liệu trám răng hiện nay đều được làm từ các chất liệu an toàn, không gây độc hại cho sức khỏe. Bạn hoàn toàn có thể yên tâm khi thực hiện phương pháp này.
Trám răng thưa có ảnh hưởng đến việc ăn nhai không?
Thực tế, trám răng thưa giúp khôi phục lại chức năng ăn nhai của răng. Sau khi trám, bạn có thể ăn uống dễ dàng hơn mà không gặp phải bất kỳ cản trở nào.
Trám răng thưa có bị đen không?
Vật liệu trám composite có thể bị ố vàng hoặc đen nếu bạn không vệ sinh răng miệng đúng cách. Đặc biệt khi sử dụng các thực phẩm có màu sắc đậm như cà phê, trà hay rượu vang. Tuy nhiên, với vật liệu trám gốm sứ thì ít bị ố vàng và đen hơn, giúp duy trì được vẻ đẹp tự nhiên.
Kết luận
Trám răng thưa là một giải pháp hiệu quả giúp khắc phục tình trạng răng thưa, cải thiện tính thẩm mỹ và chức năng ăn nhai của hàm răng. Bằng việc lựa chọn một địa chỉ nha khoa uy tín, có bác sĩ giỏi cùng với trang thiết bị hiện đại, bạn sẽ yên tâm khi thực hiện phương pháp này.
Hy vọng rằng bài viết trên đã cung cấp cho bạn những thông tin bổ ích về trám răng thưa. Nếu bạn đang gặp phải tình trạng răng thưa và muốn tìm hiểu thêm về phương pháp này, hãy liên hệ với các nha khoa uy tín để được tư vấn và hỗ trợ một cách tốt nhất!










