Viêm lợi răng hàm, hay còn gọi là bệnh nha chu, là một tình trạng viêm nhiễm ảnh hưởng đến nướu răng. Đây là một vấn đề sức khỏe răng miệng phổ biến, có thể xảy ra ở mọi lứa tuổi. Nếu không được điều trị đúng cách, viêm lợi có thể tiến triển thành nha chu, gây tổn thương nghiêm trọng đến xương hàm và dẫn đến rụng răng. Hiểu rõ về viêm lợi là bước đầu tiên để bảo vệ sức khỏe răng miệng của bạn.
Nguyên nhân gây viêm lợi răng hàm
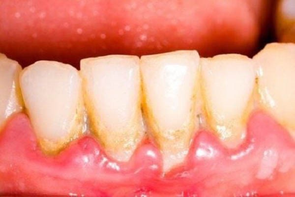
Viêm lợi chủ yếu do sự tích tụ của mảng bám vi khuẩn trên và dưới nướu gây ra. Mảng bám này, nếu không được làm sạch thường xuyên, sẽ cứng lại thành cao răng, tạo điều kiện cho vi khuẩn phát triển mạnh mẽ, gây viêm nhiễm. Một số yếu tố khác cũng góp phần làm tăng nguy cơ viêm lợi, bao gồm:

- Vệ sinh răng miệng kém: Không đánh răng thường xuyên, không sử dụng chỉ nha khoa và nước súc miệng là nguyên nhân hàng đầu gây viêm lợi. Việc vệ sinh không đúng cách dẫn đến tích tụ mảng bám và cao răng, làm phát triển vi khuẩn gây viêm.
- Di truyền: Một số người có cấu trúc nướu dễ bị viêm hơn so với người khác do yếu tố di truyền. Việc này khiến họ dễ bị viêm lợi hơn, ngay cả khi vệ sinh răng miệng tốt.
- Hút thuốc lá: Hút thuốc lá làm suy yếu hệ thống miễn dịch, giảm khả năng chống lại nhiễm trùng, đồng thời làm giảm lưu lượng máu đến nướu, khiến nướu khó lành vết thương.
- Bệnh tiểu đường: Bệnh tiểu đường làm giảm khả năng chống lại nhiễm trùng, tăng nguy cơ mắc các bệnh về nướu răng, bao gồm cả viêm lợi.
- Thay đổi nội tiết tố: Sự thay đổi nội tiết tố trong thời kỳ mang thai hoặc mãn kinh có thể làm tăng độ nhạy cảm của nướu, dễ bị viêm nhiễm.
- Dùng một số loại thuốc nhất định: Một số loại thuốc có thể gây khô miệng, làm giảm khả năng tự làm sạch của khoang miệng, từ đó góp phần gây viêm lợi.
- Stress: Căng thẳng, stress cũng ảnh hưởng tiêu cực đến sức khỏe răng miệng, làm tăng nguy cơ viêm lợi.
Triệu chứng của viêm lợi răng hàm
Các triệu chứng của viêm lợi có thể khác nhau tùy thuộc vào mức độ nghiêm trọng của bệnh. Tuy nhiên, một số dấu hiệu phổ biến bao gồm:

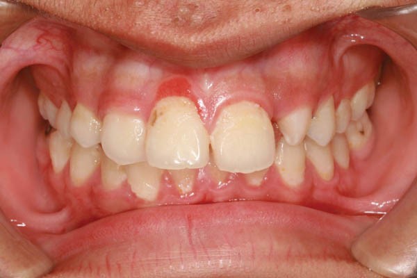
- Nướu đỏ, sưng và đau: Đây là triệu chứng đầu tiên và dễ nhận biết nhất của viêm lợi. Nướu trở nên đỏ hơn bình thường, sưng lên và gây cảm giác đau nhức khi chạm vào.
- Chảy máu khi đánh răng: Chảy máu nướu khi đánh răng là một dấu hiệu cảnh báo viêm lợi. Nếu nướu thường xuyên chảy máu khi đánh răng, bạn cần đi khám nha sĩ ngay lập tức.
- Nướu tụt: Viêm nhiễm kéo dài khiến mô nướu co lại, lộ chân răng. Điều này khiến răng trở nên nhạy cảm hơn, tăng nguy cơ sâu răng.
- Răng lung lay, mất răng: Khi nướu bị tổn thương, cấu trúc xương và mô liên kết xung quanh răng bị suy giảm. Điều này tạo điều kiện cho vi khuẩn phá hủy men răng và ngà răng, dẫn đến răng yếu ớt, lung lay và rụng.
- Áp xe, nhiễm trùng răng: Xuất hiện các túi mủ trắng quanh lợi, có thể lan ra xương hàm và mô mềm của mặt, cổ. Triệu chứng này nếu kéo dài có thể dẫn đến hoại tử nướu, chân răng và thậm chí gây ra các biến chứng nghiêm trọng như viêm màng trong tim và viêm màng não.
Điều trị viêm lợi răng hàm
Điều trị viêm lợi phụ thuộc vào mức độ nghiêm trọng của bệnh. Với trường hợp nhẹ, bạn có thể áp dụng các biện pháp điều trị tại nhà. Tuy nhiên, nếu tình trạng viêm lợi kéo dài, kèm theo các triệu chứng nghiêm trọng như sưng tấy, đau nhức, chảy máu nhiều, bạn cần đến nha khoa để được điều trị chuyên nghiệp.
Điều trị viêm lợi tại nhà
Các biện pháp điều trị tại nhà chỉ áp dụng cho trường hợp viêm lợi nhẹ và cần kết hợp với việc duy trì vệ sinh răng miệng tốt. Một số phương pháp phổ biến bao gồm:
- Vệ sinh răng miệng hàng ngày: Đánh răng ít nhất hai lần một ngày bằng bàn chải lông mềm, đầu nhỏ. Sử dụng chỉ nha khoa và nước súc miệng để loại bỏ mảng bám và thức ăn thừa. Lựa chọn kem đánh răng và nước súc miệng có chứa fluor và thành phần kháng khuẩn. Không quên sử dụng cạo lưỡi để loại bỏ vi khuẩn và giảm hôi miệng.
- Súc miệng nước muối sinh lý: Súc miệng bằng nước muối sinh lý (pha loãng) hai lần một ngày, mỗi lần ít nhất 30 giây, giúp làm sạch và giảm viêm nhiễm. Nồng độ muối thấp trong nước muối sẽ làm mất nước các vi khuẩn, giúp tiêu diệt chúng.
- Sử dụng lá trầu không: Lá trầu không có tính kháng khuẩn và giảm viêm. Bạn có thể rửa sạch, giã nhỏ 6-7 lá trầu không, đun với 500ml nước, để nguội rồi súc miệng hai lần một ngày, mỗi lần khoảng 40-50ml, ngậm trong 5-10 phút.
- Chườm nóng hoặc lạnh: Chườm nóng hoặc lạnh giúp giảm đau và sưng. Lưu ý không chườm trực tiếp lên nướu, chỉ nên chườm lên má gần vị trí nướu bị viêm. Chườm nóng khoảng 2-3 phút, chườm lạnh khoảng 5 phút, thực hiện 2-3 lần mỗi ngày.

Điều trị viêm lợi tại nha khoa
Khi viêm lợi nặng, bạn cần đến nha khoa để được điều trị chuyên nghiệp. Bác sĩ nha khoa sẽ thực hiện các phương pháp sau:
- Cạo vôi răng: Làm sạch cao răng bám trên và dưới nướu, loại bỏ vi khuẩn gây viêm nhiễm, giúp tái tạo khả năng bám dính tự nhiên của mô nướu và dây chằng chân răng.
- Nạo lợi bằng laser YAG: Sử dụng tia laser để loại bỏ mảng bám và vi khuẩn trên bề mặt răng và lợi, giúp điều trị viêm lợi hiệu quả, giảm nguy cơ nhiễm trùng. Phương pháp này ít gây đau đớn hơn so với các phương pháp truyền thống.
- Sử dụng thuốc: Tùy thuộc vào mức độ viêm nhiễm, bác sĩ có thể kê đơn các loại thuốc kháng sinh, giảm viêm, giảm đau. Ví dụ: Clindamycin (kháng sinh), Naphacogyl (chống viêm), Emofluor (gel bôi), Paracetamol (giảm đau). Liều lượng thuốc sẽ được bác sĩ chỉ định cụ thể tùy thuộc vào tình trạng bệnh nhân.

Thuốc điều trị viêm lợi
Một số loại thuốc được sử dụng để điều trị viêm lợi, bao gồm:
| Loại thuốc | Công dụng | Liều lượng |
| Kháng sinh Clindamycin | Ức chế vi khuẩn, điều trị viêm lợi cấp tính | Nhẹ: 150-300mg/lần x 4 lần/ngày; Nặng: 300-450mg/lần x 4 lần/ngày |
| Thuốc chống viêm Naphacogyl | Điều trị viêm nhiễm trong khoang miệng | Người lớn: 4-6 viên/ngày, chia 2 lần; Trẻ em: 2 viên/ngày |
| Gel bôi Emofluor | Điều trị viêm lợi, ê buốt răng, giảm đau, phòng ngừa viêm lợi, sâu răng | Thoa một lượng vừa đủ lên vùng lợi viêm, 3-4 lần/ngày |
| Thuốc giảm đau Paracetamol | Giảm đau nhức do viêm lợi gây ra | Người lớn: 1-2 viên/lần, cách nhau 4-6 giờ; Trẻ em: Tham khảo ý kiến bác sĩ |
Phòng ngừa viêm lợi răng hàm
Để phòng ngừa viêm lợi, bạn cần thực hiện các biện pháp sau:
- Vệ sinh răng miệng tốt: Đánh răng ít nhất hai lần một ngày bằng bàn chải lông mềm, sử dụng chỉ nha khoa và nước súc miệng mỗi ngày.
- Hạn chế đồ uống có đường và axit: Những loại đồ uống này có thể gây hại cho men răng, góp phần hình thành viêm lợi.
- Hạn chế thuốc lá và rượu bia: Thuốc lá và rượu bia làm suy yếu hệ thống miễn dịch và tăng nguy cơ viêm lợi.
- Khám răng định kỳ: Khám sức khỏe răng miệng và lấy cao răng định kỳ 6 tháng/lần để phát hiện và điều trị sớm các vấn đề về nướu.
- Ăn uống đủ chất: Bổ sung vitamin cần thiết để tăng cường sức đề kháng cho cơ thể.

Nha khoa Quốc tế Joy: Địa chỉ điều trị viêm lợi uy tín
Nha khoa Quốc tế Joy là một trong những địa chỉ điều trị viêm lợi uy tín tại Việt Nam, với hơn 10 năm kinh nghiệm và nhiều chi nhánh trên toàn quốc. Đội ngũ bác sĩ có hơn 20 năm kinh nghiệm, được đào tạo bài bản và từng xử lý hàng nghìn ca viêm lợi, từ đơn giản đến phức tạp. Phương pháp điều trị được lựa chọn phù hợp với từng trường hợp cụ thể: viêm lợi nhẹ (cạo vôi răng), viêm lợi có mủ (cạo vôi răng kết hợp dùng thuốc), viêm lợi răng số 8 (nhổ răng khôn), viêm lợi nặng (phẫu thuật loại bỏ nha chu tổn thương, ghép vạt nướu).

Viêm lợi là một bệnh lý răng miệng phổ biến nhưng có thể gây ra nhiều biến chứng nguy hiểm nếu không được điều trị kịp thời. Việc duy trì vệ sinh răng miệng tốt, khám răng định kỳ và điều trị đúng cách là những biện pháp quan trọng giúp bảo vệ sức khỏe răng miệng và ngăn ngừa viêm lợi. Nếu có bất kỳ dấu hiệu viêm lợi nào, hãy đến nha khoa để được thăm khám và điều trị kịp thời.










