Hàm duy trì là một trong những thiết bị nha khoa quan trọng mà nhiều người cần sử dụng sau khi niềng răng. Sau quá trình chỉnh nha, việc giữ cho răng ổn định ở vị trí mới là rất cần thiết để đảm bảo kết quả điều trị bền vững. Trong bài viết này của Nha Khoa Quốc Tế Joy, chúng ta sẽ cùng nhau tìm hiểu về hàm duy trì, các loại hàm hiện có, chi phí, thời gian sử dụng và những lưu ý quan trọng khi đeo hàm.
Hàm duy trì là gì?
Hàm duy trì, hay còn được biết đến với tên gọi hàm giữ răng, là một thiết bị nha khoa dùng để giữ cho răng ở vị trí đã được chỉnh sửa sau khi quy trình niềng răng hoàn tất. Công dụng chính của hàm duy trì là cố định răng, ngăn chặn hiện tượng xô lệch hay dịch chuyển về vị trí ban đầu. Điều này cực kỳ quan trọng vì sau khi tháo niềng, răng và xương hàm vẫn chưa hoàn toàn ổn định, dễ dẫn đến tình trạng răng trở lại hình dạng cũ nếu không có sự hỗ trợ từ hàm giữ răng.

Hàm duy trì không chỉ giúp duy trì vị trí răng mà còn làm giảm nguy cơ mắc các vấn đề răng miệng khác. Với những người đã trải qua niềng răng, việc đeo hàm duy trì là một bước không thể thiếu để bảo vệ thành quả của quá trình điều trị. Nếu không chú ý đến giai đoạn này, bạn có thể phải đối mặt với việc tốn kém thêm thời gian và tiền bạc cho một quá trình niềng răng mới.
Hàm duy trì có thể được chia thành nhiều loại khác nhau, tùy thuộc vào chất liệu, kiểu dáng và cách thức hoạt động. Sự lựa chọn loại hàm phù hợp không chỉ dựa vào sở thích cá nhân mà còn phụ thuộc vào tình trạng răng miệng cụ thể của mỗi người.
Các loại hàm duy trì thông dụng hiện nay
Có nhiều loại hàm duy trì khác nhau trên thị trường. Mỗi loại đều có những ưu điểm và nhược điểm riêng, phù hợp với nhu cầu của từng bệnh nhân.
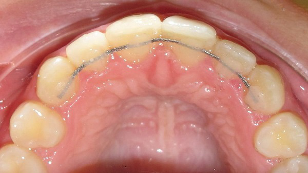
Hàm duy trì cố định mặt trong
Hàm duy trì cố định mặt trong là một loại khí cụ được sử dụng sau khi niềng răng, được chế tạo từ dây thép với các dạng thẳng hoặc xoắn, giúp cố định và duy trì vị trí răng trên cung hàm. Thông thường, phần dây thép này được gắn cố định vào mặt sau của các răng cửa bằng vật liệu composite.
Hàm duy trì cố định mang lại hiệu quả rất cao, giúp duy trì hàm răng đều đẹp sau niềng trong suốt đời. Tuy nhiên, để đạt được hiệu quả này, cần có cách chăm sóc và bảo vệ hợp lý. Việc vệ sinh răng miệng cần thực hiện nhẹ nhàng, đúng cách và thường xuyên. Nếu xảy ra bất kỳ sự cố bất thường nào, bạn nên đến nha sĩ để tháo hàm ra thay vì tự ý tháo lắp.

Tuy nhiên, một trong những nhược điểm của hàm duy trì cố định là khó vệ sinh. Bởi vì vị trí gắn của nó nằm ở bên trong, việc vệ sinh có thể gặp khó khăn hơn so với những loại hàm khác. Nếu không chăm sóc đúng cách, hàm giữ răng này có thể tạo điều kiện cho vi khuẩn phát triển, từ đó dẫn đến các vấn đề về sức khỏe răng miệng như sâu răng hay viêm nướu.
Ngoài ra, việc tái khám định kỳ cũng rất quan trọng đối với loại hàm này. Bác sĩ có thể kiểm tra tình trạng của hàm và điều chỉnh nếu cần thiết, giúp duy trì hiệu quả lâu dài cho quá trình điều trị.
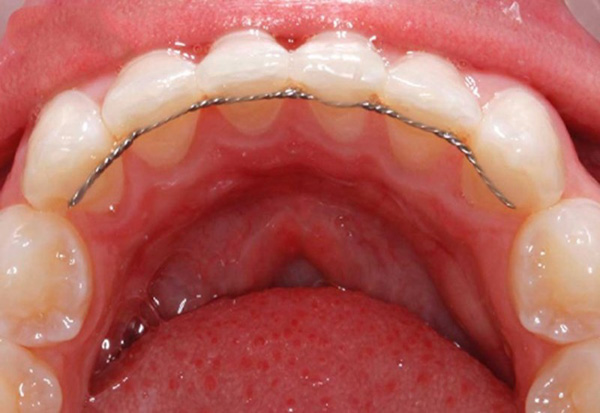
Hàm duy trì trong suốt
Hàm duy trì trong suốt là một loại khí cụ được sử dụng sau khi niềng răng, giúp giữ và cố định vị trí các răng trên cung hàm, hạn chế việc răng trở lại vị trí cũ. Máng duy trì trong suốt thường bị nhầm lẫn với niềng răng trong suốt do có thiết kế, chất liệu và màu sắc tương đồng. Tuy nhiên, vai trò và tác dụng của chúng hoàn toàn khác nhau.
Khác với niềng răng, máng duy trì trong suốt không dùng để dịch chuyển vị trí răng, mà có tác dụng cố định và giữ cho các răng ở đúng vị trí trên cung hàm. Thời gian đeo máng duy trì trong suốt cũng ngắn hơn, chỉ cần từ 8 đến 10 tiếng mỗi ngày, so với 20 đến 22 tiếng như khi sử dụng khay niềng.

Để giữ cho hàm trong suốt luôn sạch sẽ và bền đẹp, bệnh nhân cũng cần chú ý đến việc vệ sinh thường xuyên bằng cách sử dụng nước súc miệng chuyên dụng và bàn chải đánh răng mềm.
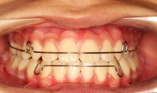
Hàm tháo lắp kim loại
Hàm duy trì tháo lắp là một loại khí cụ được cấu tạo từ các dây kim loại, có hình dạng giống như một dây cung ôm sát vào các chiếc răng cửa. Do tính thẩm mỹ không cao, hàm tháo lắp kim loại thường chỉ được sử dụng vào ban đêm. Tuy nhiên, nếu kiên trì đeo loại hàm duy trì này, kết cấu chắc chắn của nó sẽ giúp giữ răng ở đúng vị trí quy định, mang lại hiệu quả rất cao.

Tuy nhiên, hàm tháo lắp kim loại cũng có nhược điểm là hơi cộm, có thể gây khó chịu trong một số trường hợp. Ngoài ra, nó cũng không được thẩm mỹ cao như hàm trong suốt, nên nhiều người có thể cảm thấy không thoải mái khi sử dụng. Việc bảo quản và vệ sinh hàm kim loại cũng rất quan trọng. Bệnh nhân cần chải rửa thường xuyên để tránh tình trạng thức ăn bám dính, từ đó ngăn ngừa mảng bám và vi khuẩn phát triển.
Hàm duy trì bao nhiêu tiền?
Giá cả của hàm duy trì thường dao động từ vài trăm nghìn đồng đến vài triệu đồng. Giá thành này phụ thuộc vào nhiều yếu tố như loại hàm, chất liệu, và địa điểm thực hiện. Những yếu tố này đều ảnh hưởng trực tiếp đến khả năng duy trì và độ bền của hàm.

Giá của hàm duy trì sẽ phụ thuộc vào từng loại và bảng giá riêng của mỗi nha khoa. Tuy nhiên, mức giá trung bình cho các loại khí cụ duy trì sau niềng răng trên thị trường hiện nay dao động từ vài trăm đến vài triệu đồng. Dưới đây là mức giá tham khảo cho các loại khí cụ duy trì phổ biến:
- Hàm duy trì cố định: 700.000 – 900.000 đồng
- Hàm duy trì trong suốt: 1.000.000 – 1.500.000 đồng
- Hàm duy trì tháo lắp kim loại: trên 2.000.000 đồng
Lưu ý: Đây là mức giá tổng hợp trên thị trường và không phải mức giá tại Nha Khoa Quốc Tế Joy. Để biết chính xác giá của các loại khí cụ duy trì sau khi niềng, vui lòng liên hệ số hotline: 039 345 6872 để được nhân viên tư vấn.
Phải đeo hàm duy trì trong bao lâu?
Thời gian đeo hàm duy trì phụ thuộc vào nhiều yếu tố như tuổi tác, tình trạng răng miệng, loại hàm được sử dụng, và sự tuân thủ của bệnh nhân. Thông thường, bệnh nhân sẽ phải đeo hàm duy trì trong khoảng từ 6 tháng đến 2 năm.

Đối với những bệnh nhân trẻ tuổi, thời gian đeo hàm có thể ngắn hơn vì xương hàm của họ còn đang phát triển mạnh mẽ. Tuy nhiên, với những bệnh nhân lớn tuổi, thời gian đeo hàm có thể kéo dài tới cả đời, đặc biệt là trong các trường hợp răng đã từng chuyển động nhiều trước đây.
Nếu bệnh nhân không tuân thủ quy định đeo hàm, nguy cơ răng bị xô lệch trở lại sẽ gia tăng. Vì vậy, việc thông báo rõ cho bệnh nhân về thời gian cần thiết để đeo hàm giữ răng là vô cùng quan trọng.
Tại sao phải đeo hàm duy trì sau niềng răng?
Răng được đặt trong xương hàm và xung quanh được bao bọc bởi các dây chằng nha chu, có khả năng ghi nhớ vị trí ban đầu của răng. Nếu không đeo hàm duy trì sau khi tháo niềng, các dây chằng này sẽ “nhớ” vị trí cũ và khiến răng quay trở lại trạng thái ban đầu.
Hơn nữa, trong suốt quá trình niềng răng, răng phải chịu áp lực lớn từ dây niềng, làm cho các mô xung quanh như nướu, mô nha chu và ổ chân răng trở nên nhạy cảm. Những mô này không thể giữ răng một cách chắc chắn. Do đó, việc sử dụng hàm duy trì là cần thiết để ổn định vị trí răng sau khi tháo mắc cài, giúp ngăn ngừa tình trạng xô lệch theo thời gian.
Hàm duy trì còn giúp duy trì các răng ở vị trí mới, tạo điều kiện cho việc hình thành xương mới hài hòa với răng. Quá trình này có thể mất từ 9 đến 12 tháng để xương, răng và nướu thích nghi với sự thay đổi trong cấu trúc hàm. Vì vậy, các bác sĩ chỉnh nha khuyến cáo nên đeo hàm duy trì liên tục trong ít nhất 12 tháng.

Những lưu ý cần biết khi đeo hàm duy trì
Khi đeo hàm duy trì, có một số lưu ý quan trọng mà bệnh nhân cần chú ý nhằm đảm bảo hiệu quả và sức khỏe răng miệng.
Vệ sinh hàm duy trì kỹ càng
Hàm duy trì là môi trường thuận lợi cho vi khuẩn phát triển, do đó việc vệ sinh sạch sẽ sau mỗi lần ăn uống là rất cần thiết. Bạn nên sử dụng bàn chải đánh răng để loại bỏ thức ăn thừa và mảng bám. Điều này không chỉ giúp giữ cho hàm luôn sạch sẽ mà còn bảo vệ sức khỏe răng miệng của bạn.

Bên cạnh đó, việc sử dụng nước súc miệng chuyên dụng cũng rất hữu ích trong việc diệt khuẩn và giữ cho khoang miệng luôn thơm tho. Nên nhớ rằng vệ sinh đúng cách sẽ giúp hạn chế tối đa nguy cơ mắc các bệnh lý về răng miệng.
Không nên tự ý tháo hàm duy trì
Việc tháo hàm duy trì trái phép có thể làm giảm hiệu quả của nó. Bạn nên tháo hàm theo sự hướng dẫn của bác sĩ nha khoa để đảm bảo rằng răng của bạn sẽ được giữ ổn định trong thời gian dài. Nếu bạn cần tháo hàm ra để ăn uống hay vệ sinh, hãy đảm bảo rằng bạn đặt lại đúng cách ngay sau khi thực hiện xong.
Kiểm tra định kỳ
Kiểm tra hàm duy trì định kỳ là một bước quan trọng trong quá trình giữ gìn sức khỏe răng miệng. Nên lên lịch gặp bác sĩ để kiểm tra tình trạng của hàm, từ đó phát hiện sớm các bất thường như cong vênh, gãy, hoặc hư hỏng. Nếu cần thiết, bác sĩ có thể điều chỉnh hoặc thay mới hàm duy trì, giúp bạn duy trì hiệu quả lâu dài.

Lưu ý khi ăn uống
Khi đeo hàm duy trì, bạn nên tránh ăn những thức ăn cứng, dai, dễ dính vào hàm duy trì. Nên dùng thìa thay vì dùng đũa để tránh làm gãy hàm. Việc hạn chế các thực phẩm không phù hợp sẽ giúp bạn bảo vệ hàm tốt hơn và giữ cho các kết quả điều trị được bền lâu.
Hướng dẫn vệ sinh hàm duy trì đúng cách
Ngoài những lưu ý đã đề cập, việc vệ sinh khí cụ duy trì sau khi niềng răng đúng cách là điều rất quan trọng. Để vệ sinh hàm duy trì hiệu quả, bạn hãy thực hiện theo các bước sau:
- Bước 1: Chuẩn bị một ít nước ấm, bàn chải đánh răng lông mềm, bông tăm và nước ngâm chuyên dụng.
- Bước 2: Rửa qua hàm bằng nước ấm, sau đó dùng bàn chải và kem đánh răng để làm sạch hàm.
- Bước 3: Sử dụng bông tăm đã nhúng vào nước sạch để loại bỏ những mảng thức ăn còn bám lại ở các khe nhỏ.
- Bước 4: Ngâm hàm trong nước ngâm chuyên dụng từ 5-10 phút để tiêu diệt hoàn toàn vi khuẩn có hại.
- Bước 5: Lau khô, để ráo nước và bảo quản trong hộp đựng.
Vệ sinh hàm đúng cách sẽ giúp ngăn ngừa tối đa các bệnh lý răng miệng. Đối với hàm duy trì cố định, bạn nên đến nha khoa để bác sĩ thực hiện vệ sinh và điều chỉnh lại vị trí đúng. Bên cạnh đó, bạn có thể sử dụng các dụng cụ chuyên dụng như tăm nước để làm sạch hàm sau khi ăn.

Câu hỏi thường gặp về hàm duy trì
Sau khi niềng răng, việc phải đeo các loại khí cụ duy trì thường trở thành nỗi lo lắng của nhiều người. Do đó, không ít câu hỏi liên quan đến loại khí cụ này đã được đặt ra. Dưới đây, Nha Khoa Quốc Tế Joy sẽ giải đáp một số thắc mắc phổ biến mà có thể bạn cũng đang quan tâm:

Tại sao đeo hàm duy trì vẫn bị chạy răng?
Có nhiều lý do khiến răng bị chạy dù đeo hàm duy trì. Một trong số đó có thể là hàm giữ răng không phù hợp với răng, gây ra tình trạng cong vênh hoặc gãy. Ngoài ra, nếu bệnh nhân không tuân thủ hướng dẫn của bác sĩ như không đeo hàm đúng cách hoặc tháo hàm duy trì thường xuyên, răng cũng dễ dàng bị dịch chuyển.
Tình trạng sức khỏe của bệnh nhân cũng là một yếu tố quan trọng. Một số bệnh lý như bệnh nha chu hay bệnh về xương có thể ảnh hưởng đến việc giữ răng ở vị trí mới.
Có phải đeo hàm duy trì cả đời không?
Không hẳn, vì thời gian đeo hàm duy trì phụ thuộc vào cơ địa và tình trạng răng miệng của mỗi người. Rất ít trường hợp phải đeo hàm duy trì suốt đời. Đối với những người niềng răng bình thường với cấu trúc răng chắc khỏe, thời gian đeo khí cụ duy trì tối thiểu là từ 6 đến 12 tháng. Tuy nhiên, với những trường hợp có xương hàm yếu và cấu trúc răng không ổn định, thời gian đeo hàm sẽ kéo dài hơn.
Không đeo hàm duy trì bao lâu thì răng chạy?
Khi đeo hàm duy trì, bạn vẫn có thể ăn uống bình thường và cảm thấy thoải mái hơn so với thời gian niềng răng. Tuy nhiên, bạn nên hạn chế tiêu thụ các loại thực phẩm quá dai hoặc quá cứng, vì trong giai đoạn này, xương hàm còn yếu và chân răng chưa hoàn toàn ổn định.
Đeo hàm duy trì có đau không?
Việc đeo hàm duy trì thường không gây ra cảm giác đau nhức hay khó chịu như khi niềng răng và siết dây. Trên thực tế, bạn có thể cảm thấy thoải mái hơn rất nhiều so với thời gian niềng. Đặc biệt, khi sử dụng các loại hàm tháo lắp hoặc hàm trong suốt, hầu như sẽ không có cảm giác đau đớn nào.
Hàm duy trì đóng một vai trò vô cùng quan trọng trong quá trình niềng răng. Việc đeo hàm đúng cách không chỉ giúp giữ răng ở vị trí mới đã được chỉnh sửa mà còn đảm bảo hiệu quả lâu dài của quá trình điều trị. Để đạt được kết quả tốt nhất, bệnh nhân nên đến gặp bác sĩ nha khoa để được tư vấn và lựa chọn loại hàm duy trì phù hợp nhất với tình trạng răng miệng của mình. Tuân thủ hướng dẫn của bác sĩ, vệ sinh hàm duy trì đúng cách và kiểm tra định kỳ sẽ giúp bạn duy trì kết quả niềng răng lâu dài và bảo vệ sức khỏe răng miệng.
Đọc thêm:










