Tiêu xương răng là một vấn đề sức khỏe răng miệng nghiêm trọng mà nhiều người có thể gặp phải trong cuộc sống. Nó không chỉ ảnh hưởng đến chức năng nhai mà còn tác động tiêu cực đến thẩm mỹ khuôn mặt của cá nhân. Hiểu biết về nguyên nhân, triệu chứng và các phương pháp điều trị sẽ giúp chúng ta bảo vệ sức khỏe răng miệng tốt hơn và duy trì nụ cười tươi sáng.
Bài viết này sẽ cung cấp cái nhìn sâu sắc về tiêu xương răng, từ khái niệm, nguyên nhân, dấu hiệu nhận biết cho đến các biện pháp khắc phục hiệu quả.
Khái niệm tiêu xương răng

Tiêu xương răng là tình trạng mất dần mô xương xung quanh chân răng do vi khuẩn gây ra, thường xảy ra khi viêm nướu không được điều trị kịp thời. Quá trình này bắt đầu từ viêm nướu, nếu không được chăm sóc đúng cách, viêm nhiễm có thể lan sâu vào các mô xương, dẫn đến tiêu xương và mất răng. Triệu chứng của tiêu xương răng bao gồm chảy máu nướu, hơi thở hôi, răng lỏng lẻo, tụt nướu và đau nhức. Việc phát hiện và điều trị sớm tiêu xương răng giúp ngăn ngừa các biến chứng nghiêm trọng.
Nguyên nhân gây tiêu xương răng

Tiêu xương răng là hiện tượng xương hàm bị mất dần, gây ảnh hưởng nghiêm trọng đến sức khỏe răng miệng. Dưới đây là các nguyên nhân chính gây tiêu xương răng:
- Viêm nướu và viêm nha chu: Viêm nướu và viêm nha chu do vi khuẩn tấn công, làm tổn thương mô nướu và xương hàm.
- Mất răng lâu ngày: Khi mất răng và không có phương pháp thay thế, xương hàm ở khu vực mất răng không còn được kích thích, dẫn đến tiêu xương.
- Hút thuốc lá: Hút thuốc lá làm giảm lưu lượng máu đến nướu và xương, ảnh hưởng đến khả năng phục hồi và duy trì sức khỏe xương.
- Chấn thương hoặc tai nạn: Chấn thương vùng hàm mặt hoặc tai nạn có thể làm hư hại xương hàm, gây tiêu xương.
- Rối loạn hormon: Các vấn đề về hormon như trong giai đoạn mãn kinh hoặc bệnh lý tuyến giáp có thể ảnh hưởng đến sự ổn định của xương hàm.
- Ăn uống thiếu chất dinh dưỡng: Thiếu hụt các vitamin và khoáng chất như vitamin D, canxi có thể làm yếu xương và dễ dẫn đến tiêu xương răng.
- Cắn lệch hoặc nhai không đúng cách: Cắn lệch hoặc nhai không đúng cách gây áp lực không đều lên xương hàm, dẫn đến hiện tượng tiêu xương.
- Bệnh lý toàn thân: Một số bệnh lý như tiểu đường hoặc các bệnh tự miễn có thể gây ảnh hưởng đến sức khỏe xương, làm tăng nguy cơ tiêu xương răng.
Việc nhận biết và điều trị kịp thời các nguyên nhân này có thể giúp ngăn ngừa và hạn chế tình trạng tiêu xương răng.
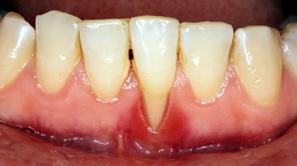
Triệu chứng và dấu hiệu nhận biết tiêu xương răng

Dưới đây là những triệu chứng và dấu hiệu giúp bạn nhận biết tình trạng tiêu xương răng:
- Lợi tụt xuống: Lợi bị tụt xuống, lộ ra phần chân răng, làm răng trông dài hơn bình thường.
- Răng lỏng lẻo: Răng bắt đầu có cảm giác lỏng, dễ di chuyển hoặc lung lay.
- Đau răng hoặc lợi: Có cảm giác đau hoặc ê buốt ở các vùng bị tổn thương, đặc biệt là khi ăn hoặc nhai.
- Chảy máu lợi: Lợi có thể bị chảy máu khi đánh răng hoặc dùng chỉ nha khoa.
- Mùi hôi miệng: Miệng có mùi hôi kéo dài không thuyên giảm dù đã vệ sinh răng miệng cẩn thận.
- Răng bị mòn: Răng có dấu hiệu mòn hoặc thay đổi hình dạng, không còn đều đặn như trước.
- Nướu bị sưng tấy: Nướu có thể sưng, đỏ và có thể kèm theo cảm giác đau.
Những triệu chứng này nếu xuất hiện kéo dài, bạn nên đến nha sĩ để kiểm tra và điều trị kịp thời, tránh ảnh hưởng đến sức khỏe răng miệng lâu dài.
Cách khắc phục và điều trị tiêu xương răng hiệu quả

Biện pháp phòng ngừa tiêu xương hàm hiệu quả

Để phòng ngừa tiêu xương hàm hiệu quả, bạn có thể thực hiện những biện pháp sau đây:
- Chăm sóc răng miệng đúng cách: Đánh răng ít nhất hai lần mỗi ngày và sử dụng chỉ nha khoa để loại bỏ mảng bám và vi khuẩn.
- Thăm khám nha sĩ định kỳ: Kiểm tra răng miệng mỗi 6 tháng để phát hiện và điều trị kịp thời các vấn đề về răng miệng, như viêm nướu, sâu răng, hay nhiễm trùng.
- Sử dụng fluoride: Sử dụng kem đánh răng có fluoride giúp bảo vệ men răng và ngăn ngừa sâu răng, một nguyên nhân có thể dẫn đến tiêu xương răng.
- Tránh hút thuốc lá: Hút thuốc lá làm tăng nguy cơ mắc các bệnh nha chu và tiêu xương răng, vì vậy nên tránh hoặc ngừng thói quen này.
- Ăn uống hợp lý: Bổ sung đầy đủ canxi và vitamin D trong chế độ ăn uống, giúp duy trì sức khỏe xương và ngăn ngừa tiêu xương hàm.
- Điều trị bệnh nha chu kịp thời: Bệnh nha chu nếu không được điều trị sẽ làm tổn hại đến xương hàm, vì vậy cần can thiệp sớm khi có dấu hiệu viêm nướu hoặc chảy máu chân răng.
- Sử dụng phẫu thuật hoặc ghép xương khi cần thiết: Trong những trường hợp tiêu xương răng nghiêm trọng, bác sĩ có thể khuyên bạn ghép xương hoặc thực hiện phẫu thuật để phục hồi cấu trúc xương hàm.
Bằng cách thực hiện những biện pháp này, bạn có thể giúp ngăn ngừa tiêu xương hàm và duy trì sức khỏe răng miệng tốt.
Kết luận
Tiêu xương răng là một vấn đề sức khỏe không thể xem nhẹ, có thể gây ra nhiều biến chứng nếu không được điều trị kịp thời. Thấu hiểu nguyên nhân, triệu chứng và cách điều trị tiêu xương răng là điểm quan trọng để bảo vệ sức khỏe răng miệng của bạn.
Việc duy trì vệ sinh răng miệng tốt, thực hiện các biện pháp phòng ngừa, cũng như khám nha khoa định kỳ là những cách hiệu quả nhất để ngăn ngừa tiêu xương răng. Nếu bạn gặp bất kỳ dấu hiệu hoặc triệu chứng nào của tình trạng này, hãy nhanh chóng tham khảo ý kiến từ nha sĩ để được tư vấn và điều trị một cách kịp thời.
Xem thêm:










